Kjennetegn ved osteosarkom hos barn

Osteosarkom står for 3% av alle kreftformer som oppstår hos barn. Det er også den vanligste typen beinkreft og en av få som begynner direkte i beinvevet. Dessverre kan det spre seg til andre områder av kroppen.
Overlevelsesraten for osteosarkom hos barn er omtrent 60 til 80% når den ikke sprer seg utover den første svulsten. Selvfølgelig avhenger alt av effektiviteten til cellegift. På sin side er sjansen for å overleve mye lavere hvis den allerede er spredt til andre områder.
Ifølge estimater representerer osteosarkom omtrent halvparten av alle tilfeller av denne sykdommen hos barn. De fleste diagnosene forekommer mellom 10 og 30 år. I tillegg er det mer vanlig hos ungdom.
Hva er osteosarkom?

Dette er en type kreft som utvikler seg i beinceller. Det er også kjent som osteogent sarkom og viser seg som en ondartet svulst som kan spre seg til nesten alle andre deler av kroppen – oftest til lungene først.
Denne kreften begynner vanligvis i enden av beinene i armene eller bena, men påvirker også andre bein. Den vokser vanligvis på følgende områder :
- Toppen av kneet eller det distale lårbenet
- Under kneet eller proksimalt skinneben
- Under skulderen eller proximal humerus
Osteosarkom forekommer vanligvis hos barn eldre enn 10 år. Noen tror at denne kreften skyldes DNA -svikt i beinceller i stadiene av intens vekst. Generelt påvirker det gutter mer enn jenter, og de fleste tilfeller forekommer i kneet.
Typer osteosarkom hos barn
Det er i hovedsak to typer osteosarkom hos barn og voksne. Hver av dem inneholder flere undertyper:
- En sentral svulst, også kjent som en medullær svulst, vises dypt i beinet
- Konvensjonell sentral osteosarkom
- Telangiektatisk
- Intraosseøs, godt differensiert eller lavgradig
- Småcellet osteosarkom
- En overfladisk eller perifer svulst som dukker opp i de grunnere områdene
- Parosteal osteosarkom er også kjent som juxtakortikal
- Periosteal
- Til slutt, overfladisk osteosarkom av høy kvalitet
Risikofaktorer
Generelt forekommer osteosarkomer hos mennesker som verken har andre sykdommer eller en familiehistorie med beinkreft. Alt tyder på at et sett med genetiske endringer som fører til sykdommen tilfeldigvis oppstår.
Når det er sagt, så vær oppmerksom på at det i noen tilfeller er faktorer som fremmer utviklingen av sykdommen. Blant dem:
- Historie om strålebehandling for andre typer kreft; spesielt i ung alder
- Arvelig retinoblastom
- Tidligere sykdommer som Li-Fraumeni syndrom, Werner syndrom og Rothmund-Thomson syndrom
Symptomer på osteosarkom hos barn

Symptomene på osteosarkom varierer. Noen pasienter er faktisk asymptomatiske. Noen av de vanligste tegnene er imidlertid:
- Smerter i et bein eller ledd, som øker med tiden til det blir uutholdelig
- Knuste bein, uten åpenbar årsak
- Tilstedeværelsen av en masse eller klump
- Tap av tarm eller blære kontroll.
- Ryggsmerte
Som du kan forestille deg, er det viktig å være oppmerksom på tilstedeværelsen til noen av disse symptomene, spesielt i ungdomsårene. Ikke nøl med å konsultere en spesialist hvis du mistenker det på noen måte.
Diagnose og behandling
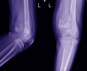
Diagnosen stilles vanligvis på grunnlag av et klinisk intervju og helsehistorie, sammen med noen tester. Det starter vanligvis med røntgenbilder, som suppleres med en MR. En lege vil bestille en biopsi så snart de oppdager et problem og identifiserer området.
Etter å ha bekreftet diagnosen, vil legen bestille en CT -skanning av brystet, en beinskanning og noen ganger flere MR-skanninger. Alt dette gjør at de kan stille en mer presis diagnose og bestemme seg for en mer effektiv behandling.
Behandlingen av osteosarkom hos barn inkluderer cellegift og tar sikte på å minke kreftmassen. Etterpå vil det være nødvendig med kirurgi for å fjerne svulstene, og til slutt utsetter de pasienten for cellegift igjen for å minimere sannsynligheten for tilbakevendende kreft.
Vær på utkikk etter symptomer på osteosarkom hos barn
Som du kan se, kan osteosarkom vises subtilt og uten tidligere sykdomsbilde hos barn. Videre må foreldre være oppmerksomme på tilstedeværelsen på mulige symptomer, spesielt i ungdomsårene.
Rådfør deg til slutt med en spesialist for å utelukke dette og andre mulige patologier som kan skade helsen alvorlig hvis du mistenker at barnet ditt kan ha sykdommen.
Osteosarkom står for 3% av alle kreftformer som oppstår hos barn. Det er også den vanligste typen beinkreft og en av få som begynner direkte i beinvevet. Dessverre kan det spre seg til andre områder av kroppen.
Overlevelsesraten for osteosarkom hos barn er omtrent 60 til 80% når den ikke sprer seg utover den første svulsten. Selvfølgelig avhenger alt av effektiviteten til cellegift. På sin side er sjansen for å overleve mye lavere hvis den allerede er spredt til andre områder.
Ifølge estimater representerer osteosarkom omtrent halvparten av alle tilfeller av denne sykdommen hos barn. De fleste diagnosene forekommer mellom 10 og 30 år. I tillegg er det mer vanlig hos ungdom.
Hva er osteosarkom?

Dette er en type kreft som utvikler seg i beinceller. Det er også kjent som osteogent sarkom og viser seg som en ondartet svulst som kan spre seg til nesten alle andre deler av kroppen – oftest til lungene først.
Denne kreften begynner vanligvis i enden av beinene i armene eller bena, men påvirker også andre bein. Den vokser vanligvis på følgende områder :
- Toppen av kneet eller det distale lårbenet
- Under kneet eller proksimalt skinneben
- Under skulderen eller proximal humerus
Osteosarkom forekommer vanligvis hos barn eldre enn 10 år. Noen tror at denne kreften skyldes DNA -svikt i beinceller i stadiene av intens vekst. Generelt påvirker det gutter mer enn jenter, og de fleste tilfeller forekommer i kneet.
Typer osteosarkom hos barn
Det er i hovedsak to typer osteosarkom hos barn og voksne. Hver av dem inneholder flere undertyper:
- En sentral svulst, også kjent som en medullær svulst, vises dypt i beinet
- Konvensjonell sentral osteosarkom
- Telangiektatisk
- Intraosseøs, godt differensiert eller lavgradig
- Småcellet osteosarkom
- En overfladisk eller perifer svulst som dukker opp i de grunnere områdene
- Parosteal osteosarkom er også kjent som juxtakortikal
- Periosteal
- Til slutt, overfladisk osteosarkom av høy kvalitet
Risikofaktorer
Generelt forekommer osteosarkomer hos mennesker som verken har andre sykdommer eller en familiehistorie med beinkreft. Alt tyder på at et sett med genetiske endringer som fører til sykdommen tilfeldigvis oppstår.
Når det er sagt, så vær oppmerksom på at det i noen tilfeller er faktorer som fremmer utviklingen av sykdommen. Blant dem:
- Historie om strålebehandling for andre typer kreft; spesielt i ung alder
- Arvelig retinoblastom
- Tidligere sykdommer som Li-Fraumeni syndrom, Werner syndrom og Rothmund-Thomson syndrom
Symptomer på osteosarkom hos barn

Symptomene på osteosarkom varierer. Noen pasienter er faktisk asymptomatiske. Noen av de vanligste tegnene er imidlertid:
- Smerter i et bein eller ledd, som øker med tiden til det blir uutholdelig
- Knuste bein, uten åpenbar årsak
- Tilstedeværelsen av en masse eller klump
- Tap av tarm eller blære kontroll.
- Ryggsmerte
Som du kan forestille deg, er det viktig å være oppmerksom på tilstedeværelsen til noen av disse symptomene, spesielt i ungdomsårene. Ikke nøl med å konsultere en spesialist hvis du mistenker det på noen måte.
Diagnose og behandling
Diagnosen stilles vanligvis på grunnlag av et klinisk intervju og helsehistorie, sammen med noen tester. Det starter vanligvis med røntgenbilder, som suppleres med en MR. En lege vil bestille en biopsi så snart de oppdager et problem og identifiserer området.
Etter å ha bekreftet diagnosen, vil legen bestille en CT -skanning av brystet, en beinskanning og noen ganger flere MR-skanninger. Alt dette gjør at de kan stille en mer presis diagnose og bestemme seg for en mer effektiv behandling.
Behandlingen av osteosarkom hos barn inkluderer cellegift og tar sikte på å minke kreftmassen. Etterpå vil det være nødvendig med kirurgi for å fjerne svulstene, og til slutt utsetter de pasienten for cellegift igjen for å minimere sannsynligheten for tilbakevendende kreft.
Vær på utkikk etter symptomer på osteosarkom hos barn
Som du kan se, kan osteosarkom vises subtilt og uten tidligere sykdomsbilde hos barn. Videre må foreldre være oppmerksomme på tilstedeværelsen på mulige symptomer, spesielt i ungdomsårene.
Rådfør deg til slutt med en spesialist for å utelukke dette og andre mulige patologier som kan skade helsen alvorlig hvis du mistenker at barnet ditt kan ha sykdommen.
Alle siterte kilder ble grundig gjennomgått av teamet vårt for å sikre deres kvalitet, pålitelighet, aktualitet og validitet. Bibliografien i denne artikkelen ble betraktet som pålitelig og av akademisk eller vitenskapelig nøyaktighet.
- Bello, A., Márquez, A. H., & Noris-Suárez, K. (2007). El grado de glicosilación del colágeno óseo regula la adhesión y la capacidad de biomineralizar de las células óseas. In IV Latin American Congress on Biomedical Engineering 2007, Bioengineering Solutions for Latin America Health (pp. 663-666). Springer, Berlin, Heidelberg.
- Millán-Rodríguez, A. C., Lázaro-González, V., Dios-Castro, E., R Regal, A., Cores, F. J., & Fernández-Vila, P. C. (2008). Disminución de agudeza visual, primer síntoma de un tumor medular. Archivos de la Sociedad Española de Oftalmología, 83(7), 437-440.
- Cortés-Rodríguez, R., Castañeda-Pichardo, G., & Tercero-Quintanilla, G. (2010). Guía de diagnóstico y tratamiento para pacientes pediátricos con osteosarcoma. Archivos de Investigación Materno Infantil, 2(2), 60-66.
Denne teksten tilbys kun til informasjonsformål og erstatter ikke konsultasjon med en profesjonell. Ved tvil, konsulter din spesialist.







