Akutt koronarsyndrom: Hva er det egentlig?

Akutt koronarsyndrom (ACS) oppstår når blodstrømmen til hjertet reduseres drastisk. I de fleste tilfeller er det forårsaket av brudd på en ateromatøs plakett i koronararteriene.
Ateromatøse plaketter er unormale ansamlinger av materialer i blodkar. Frigjøring av et fragment av aterom utløser trombedannelse. Deretter oppstår total eller delvis blokkering av en koronararterie.
Koronararteriene er de viktigste blodårene som forsyner hjertet. Derfor resulterer hindring i redusert blodtilstrømning til hjertet. Dette fører til iskemisk kardial patologi.
Dette er hovedårsaken til akutt koronarsyndrom. Noen andre ting kan imidlertid føre til det også.
Disse kan omfatte følgende:
- Kawasaki sykdom
- Leddgikt
- Traume
- Kronartrombose
- Hyperkoagulerbare tilstander
- Arterielle embolismer
- Spontan koronararteriedisseksjon
- Medfødte avvik
Kliniske manifestasjoner av akutt koronarsyndrom (ACS)

Brystsmerter er det viktigste tegnet på ACS. Andre symptomer kan imidlertid også forekomme.
Det viktigste symptomet på ACS er brystsmerter som manifesterer seg rundt brystbenet eller magen. I tillegg kan denne smerten spre seg til områder som skuldre, nakke eller kjeve.
Smerten er plutselig og blir mer intens etter hvert som tiden går. Vanligvis når det sitt høydepunkt omtrent etter to til fem minutter. Imidlertid kan episodene av og til være intermitterende.
Andre symptomer er kvalme, oppkast, magesmerter eller svimmelhet. I tillegg kan noen pasienter oppleve hypotensjon, svette, blekhet og uregelmessig puls.
Hos unge pasienter mellom 25 og 40 år og hos eldre pasienter over 75 år kan imidlertid det kliniske bildet være atypisk og uspesifikt. Når det er sagt, kan det manifestere seg som epigastrisk smerte, følelse av fordøyelsesbesvær, utmattelse eller synkope.
Vi anbefaler deg også å lese denne artikkelen: Viktige tips for å komme deg etter et pre-hjerteinfarkt
Diagnostisering av akutt koronarsyndrom
Vanligvis diagnostiserer leger ACS etter at en pasient opplever brystsmerter med mistenkt iskemi. I disse tilfellene vil legen gjennomføre noen ekstra tester for å bestemme dens tilstedeværelse og alvorlighetsgrad.
Videre skal vi se på disse testene.
Elektrokardiogram

Totalt sett er en elektrokardiogramtest den valgte diagnostiske testen for hjerteproblemer.
Dette er en medisinsk test som registrerer hjertets elektriske aktivitet i hvert hjerteslag. Den bruker en grafisk fremstilling for å vise den elektriske stimuleringen av atriene og ventriklene (hjertets bevegelse).
I tilfelle mistanke, bør en lege utføre et elektrokardiogram i løpet av de første ti minuttene etter vurderingen. Hvis resultatene er entydige, men kliniske bevis fortsatt foreligger, anbefaler eksperter at legene gjentar elektrokardiogrammet hvert 15. til 30. minutt for å fortsette evalueringen.
Hjertenzymer
I tillegg tillater blodprøver leger å analysere hjerteenzymer som indikerer tilstedeværelse av myokardnekrose. Hvis markørene for myokardnekrose – troponiner og kreatinkinase-MB-masse – er høye, bør legen mistenke hjerteinfarkt.
Spesialister anbefaler at leger analyserer disse markørene i løpet av de første 60 minuttene.
Fraværet av disse markørene under en innledende analyse utelukker imidlertid ikke hjerteinfarkt. Derfor bør legene gjenta testen seks og tolv timer etter manifestasjonen av brystsmertene.
Denne artikkelen kan interessere deg: Symptomer på hjerteinfarkt som kroppen begynner å sende deg en måned i forveien
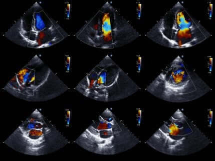
Ekkokardiogram

Ekkokardiogrammer, eller hjertesonogrammer, lar til slutt medisinsk fagfolk studere hjertet mer detaljert.
Ekkokardiogrammet er en veldig populær medisinsk test. Dette er fordi den får bevegelige bilder av hjertet. Dermed kan den evaluere statusen til hjertekamrene og deres bevegelser for å bekrefte eller utelukke iskemi.
I tillegg evaluerer den også hjertestørrelse og -styrke, samt tilstanden til veggene i hjertets kamre. Totalt sett er det en ikke-invasiv test som ikke innebærer noen risiko for pasienten. Dette er fordi den bruker ultralyd for å få tak i bilder av hjertet.
Hvis legen bruker denne testen, utelukker fraværet av bevegelsesforstyrrelser i hjerteveggen tilstedeværelsen av iskemi. Tross alt er ikke bevegelsesforstyrrelser unike for akutt koronarsyndrom. Av den grunn skal testresultatene og symptomene vurderes sammen.
Andre tester for akutt koronarsyndrom
Noen ganger kan leger anbefale en koronar angiografi. Dette er en test som bruker et kontrastmiddel og røntgenbilder for å observere hvordan blodet strømmer gjennom hjertet.
I tillegg kan leger kjøre andre tester for å diagnostisere pasienten. Totalt sett inkluderer disse en hjertestresstest, radionuklid-stresstest av hjertet og et treningsstress-ekkokardiogram.
Akutt koronarsyndrom (ACS) oppstår når blodstrømmen til hjertet reduseres drastisk. I de fleste tilfeller er det forårsaket av brudd på en ateromatøs plakett i koronararteriene.
Ateromatøse plaketter er unormale ansamlinger av materialer i blodkar. Frigjøring av et fragment av aterom utløser trombedannelse. Deretter oppstår total eller delvis blokkering av en koronararterie.
Koronararteriene er de viktigste blodårene som forsyner hjertet. Derfor resulterer hindring i redusert blodtilstrømning til hjertet. Dette fører til iskemisk kardial patologi.
Dette er hovedårsaken til akutt koronarsyndrom. Noen andre ting kan imidlertid føre til det også.
Disse kan omfatte følgende:
- Kawasaki sykdom
- Leddgikt
- Traume
- Kronartrombose
- Hyperkoagulerbare tilstander
- Arterielle embolismer
- Spontan koronararteriedisseksjon
- Medfødte avvik
Kliniske manifestasjoner av akutt koronarsyndrom (ACS)

Brystsmerter er det viktigste tegnet på ACS. Andre symptomer kan imidlertid også forekomme.
Det viktigste symptomet på ACS er brystsmerter som manifesterer seg rundt brystbenet eller magen. I tillegg kan denne smerten spre seg til områder som skuldre, nakke eller kjeve.
Smerten er plutselig og blir mer intens etter hvert som tiden går. Vanligvis når det sitt høydepunkt omtrent etter to til fem minutter. Imidlertid kan episodene av og til være intermitterende.
Andre symptomer er kvalme, oppkast, magesmerter eller svimmelhet. I tillegg kan noen pasienter oppleve hypotensjon, svette, blekhet og uregelmessig puls.
Hos unge pasienter mellom 25 og 40 år og hos eldre pasienter over 75 år kan imidlertid det kliniske bildet være atypisk og uspesifikt. Når det er sagt, kan det manifestere seg som epigastrisk smerte, følelse av fordøyelsesbesvær, utmattelse eller synkope.
Vi anbefaler deg også å lese denne artikkelen: Viktige tips for å komme deg etter et pre-hjerteinfarkt
Diagnostisering av akutt koronarsyndrom
Vanligvis diagnostiserer leger ACS etter at en pasient opplever brystsmerter med mistenkt iskemi. I disse tilfellene vil legen gjennomføre noen ekstra tester for å bestemme dens tilstedeværelse og alvorlighetsgrad.
Videre skal vi se på disse testene.
Elektrokardiogram

Totalt sett er en elektrokardiogramtest den valgte diagnostiske testen for hjerteproblemer.
Dette er en medisinsk test som registrerer hjertets elektriske aktivitet i hvert hjerteslag. Den bruker en grafisk fremstilling for å vise den elektriske stimuleringen av atriene og ventriklene (hjertets bevegelse).
I tilfelle mistanke, bør en lege utføre et elektrokardiogram i løpet av de første ti minuttene etter vurderingen. Hvis resultatene er entydige, men kliniske bevis fortsatt foreligger, anbefaler eksperter at legene gjentar elektrokardiogrammet hvert 15. til 30. minutt for å fortsette evalueringen.
Hjertenzymer
I tillegg tillater blodprøver leger å analysere hjerteenzymer som indikerer tilstedeværelse av myokardnekrose. Hvis markørene for myokardnekrose – troponiner og kreatinkinase-MB-masse – er høye, bør legen mistenke hjerteinfarkt.
Spesialister anbefaler at leger analyserer disse markørene i løpet av de første 60 minuttene.
Fraværet av disse markørene under en innledende analyse utelukker imidlertid ikke hjerteinfarkt. Derfor bør legene gjenta testen seks og tolv timer etter manifestasjonen av brystsmertene.
Denne artikkelen kan interessere deg: Symptomer på hjerteinfarkt som kroppen begynner å sende deg en måned i forveien
Ekkokardiogram

Ekkokardiogrammer, eller hjertesonogrammer, lar til slutt medisinsk fagfolk studere hjertet mer detaljert.
Ekkokardiogrammet er en veldig populær medisinsk test. Dette er fordi den får bevegelige bilder av hjertet. Dermed kan den evaluere statusen til hjertekamrene og deres bevegelser for å bekrefte eller utelukke iskemi.
I tillegg evaluerer den også hjertestørrelse og -styrke, samt tilstanden til veggene i hjertets kamre. Totalt sett er det en ikke-invasiv test som ikke innebærer noen risiko for pasienten. Dette er fordi den bruker ultralyd for å få tak i bilder av hjertet.
Hvis legen bruker denne testen, utelukker fraværet av bevegelsesforstyrrelser i hjerteveggen tilstedeværelsen av iskemi. Tross alt er ikke bevegelsesforstyrrelser unike for akutt koronarsyndrom. Av den grunn skal testresultatene og symptomene vurderes sammen.
Andre tester for akutt koronarsyndrom
Noen ganger kan leger anbefale en koronar angiografi. Dette er en test som bruker et kontrastmiddel og røntgenbilder for å observere hvordan blodet strømmer gjennom hjertet.
I tillegg kan leger kjøre andre tester for å diagnostisere pasienten. Totalt sett inkluderer disse en hjertestresstest, radionuklid-stresstest av hjertet og et treningsstress-ekkokardiogram.
Alle siterte kilder ble grundig gjennomgått av teamet vårt for å sikre deres kvalitet, pålitelighet, aktualitet og validitet. Bibliografien i denne artikkelen ble betraktet som pålitelig og av akademisk eller vitenskapelig nøyaktighet.
- Cabrera S, Serrano I, Sans J, Bardají A. Protocolo diagnóstico del dolor torácico agudo. En: Urgencias. Unidades de dolor torácico. Medicine 2009;10(37)2511-4.
- Fauci, Braunwald, Kasper, Hauser, Longo, Jameson et al. Harrison, principios de Medicina Interna. Vol I-17a Edición. Mc Graw Hill Año 2009:87-91.
- Segura De La Cal, T., Carbonell San Román, S. A., & Zamorano Gómez, J. L. (2013). Síndrome coronario agudo. Medicine (Spain). https://doi.org/10.1016/S0304-5412(13)70608-5
- Sociedad Española de Cardiología. (2017). Proceso asistencial simplificado del síndrome coronario agudo. Sociedad Española de Cardiología. https://doi.org/http://dx.doi.org/10.2139/
- Lee Th, Goldman L. Evaluation Of The Patient With Acte Chest Pain. New England Journal Med 2000;342:1187-95
Denne teksten tilbys kun til informasjonsformål og erstatter ikke konsultasjon med en profesjonell. Ved tvil, konsulter din spesialist.







