Årsaker til munnskold samt mulige behandlinger

Du er kanskje ikke kjent med årsakene til munnskold, men du har sikkert opplevd dem på et eller annet tidspunkt; folk kan også referere til dem som “after”. Disse lesjonene vises på vevet som utgjør munnhulen, slik som på innsiden av kinnene og leppene samt på tannkjøttet.
Munnskold er både vanlige og ubehagelige og øker følsomheten for mange typer mat. For eksempel kan det å drikke appelsinjuice eller varm drikke være ganske smertefullt.
Plasseringen, formen og årsakene til disse lesjonene varierer sterkt. Faktisk kan de være forårsaket av noe så enkelt som et bitt på innsiden av munnen eller være et symptom på en mer komplisert systemisk prosess. De kan til og med være det første tegnet på en infeksjon.
Dagens artikkel vil forklare hovedårsakene til munnskold. Vi skal også snakke om de grunnleggende tiltakene for å behandle dem og helbrede dem så snart som mulig.
Årsakene til munnskold
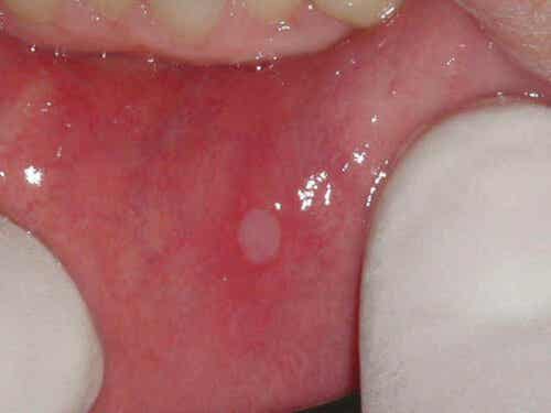
Disse lesjonene består vanligvis av en enkelt rund, hvitfarget lesjon omgitt av et betent område. De er sjelden større enn 8 millimeter.
I tillegg er det ofte mer enn ett sår, og disse er vanligvis mindre enn 3 millimeter. Det er også tilfeller der disse lesjonene er større, og helbredelsen av disse er mer kompleks.

Denne forskjellen i størrelse og antall avhenger vanligvis årsaken. For eksempel, som vi allerede har nevnt, er det normalt å finne et enkelt sår på grunn av et lite bitt i munnhulen. Noen andre hyppige årsaker er:
- Enhver behandling hos tannlegen, spesielt kjeveortopedi og bruk av regulering.
- Herpesvirus er ofte assosiert med flere små munnskold.
- Munnskold som skyldes stress og hormonelle endringer er hyppigere hos kvinner ettersom deres hormonelle endringer er mer intense.
- Røyking kan forårsake munnskold på grunn av forbrenning eller på grunn av de giftige tilsetningsstoffene som industrielle sigaretter inneholder.
- Mange medisiner kan forårsake dem, spesielt medisiner som brukes under cellegift og strålebehandling mot visse typer kreft.
Ikke gå glipp av denne: Råd for å kurere munnskåld og munnsår
Systemiske årsaker
I tillegg til de ovennevnte årsakene er det mange sykdommer som kan føre til munnskold. Først og fremst bør vi understreke at ernæringsmangler kan forårsake dem. To eksempler på dette er jern eller vitaminer.
En annen årsak kan være Behçets sykdom, hvis hovedkarakteristikk er betennelse i blodårene. Dette skyldes at sykdommen forårsaker skade på forskjellige organer i kroppen, noe som kan manifestere seg gjennom sår i munnen.
Videre er det vanlig at de som opplever inflammatorisk tarmsykdom også opplever disse lesjonene i munnen. Det samme skjer med tilfeller av cøliaki. I tillegg kan enhver patologi som forårsaker sår og blemmer på huden, som pemfigus, være en mulig årsak.

Lær mer i denne artikkelen: 8 remedier som kan hjelpe til med å helbrede munnsår
Hvordan behandler man munnskold?
Som du kan se, er de fleste typer munnskold godartede. Dette betyr at de vil forsvinne av seg selv og vanligvis ikke trenger behandling. Du må imidlertid undersøke årsaken hvis de har en tendens til å dukke opp igjen og igjen, og det ikke er noen åpenbare årsaker som traumer.
Selv om det er sant at det ikke er noen grunn til å behandle dem, finnes det enkelte produkter som faktisk fremmer og fremskynder bedring. Et eksempel på dette er hyaluronsyre, markedsført i kremer og salver. I tillegg kan noen typer mat irritere såret ytterligere, så unngå dem.
Munnskold kan også skyldes en infeksjon, så i dette tilfellet er du nødt til å behandle dem. Det samme gjelder lesjoner som er en bivirkning av medikamenter. Du bør i så fall bytte medisin.
Du kan bruke munnvann som inneholder bedøvelsesmidler som lidokain hvis ubehaget er for intenst. De som inneholder kortikosteroider kan redusere betennelse.
Snakk med legen din hvis munnskold er for plagsomme eller dukker opp ofte. Dette skyldes at de kan være et symptom på mangler eller en sykdom som krever oppmerksomhet.
Du er kanskje ikke kjent med årsakene til munnskold, men du har sikkert opplevd dem på et eller annet tidspunkt; folk kan også referere til dem som “after”. Disse lesjonene vises på vevet som utgjør munnhulen, slik som på innsiden av kinnene og leppene samt på tannkjøttet.
Munnskold er både vanlige og ubehagelige og øker følsomheten for mange typer mat. For eksempel kan det å drikke appelsinjuice eller varm drikke være ganske smertefullt.
Plasseringen, formen og årsakene til disse lesjonene varierer sterkt. Faktisk kan de være forårsaket av noe så enkelt som et bitt på innsiden av munnen eller være et symptom på en mer komplisert systemisk prosess. De kan til og med være det første tegnet på en infeksjon.
Dagens artikkel vil forklare hovedårsakene til munnskold. Vi skal også snakke om de grunnleggende tiltakene for å behandle dem og helbrede dem så snart som mulig.
Årsakene til munnskold
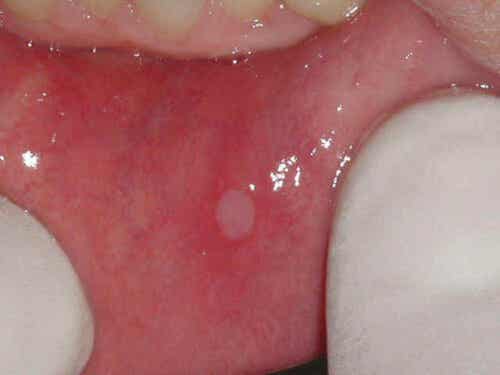
Disse lesjonene består vanligvis av en enkelt rund, hvitfarget lesjon omgitt av et betent område. De er sjelden større enn 8 millimeter.
I tillegg er det ofte mer enn ett sår, og disse er vanligvis mindre enn 3 millimeter. Det er også tilfeller der disse lesjonene er større, og helbredelsen av disse er mer kompleks.

Denne forskjellen i størrelse og antall avhenger vanligvis årsaken. For eksempel, som vi allerede har nevnt, er det normalt å finne et enkelt sår på grunn av et lite bitt i munnhulen. Noen andre hyppige årsaker er:
- Enhver behandling hos tannlegen, spesielt kjeveortopedi og bruk av regulering.
- Herpesvirus er ofte assosiert med flere små munnskold.
- Munnskold som skyldes stress og hormonelle endringer er hyppigere hos kvinner ettersom deres hormonelle endringer er mer intense.
- Røyking kan forårsake munnskold på grunn av forbrenning eller på grunn av de giftige tilsetningsstoffene som industrielle sigaretter inneholder.
- Mange medisiner kan forårsake dem, spesielt medisiner som brukes under cellegift og strålebehandling mot visse typer kreft.
Ikke gå glipp av denne: Råd for å kurere munnskåld og munnsår
Systemiske årsaker
I tillegg til de ovennevnte årsakene er det mange sykdommer som kan føre til munnskold. Først og fremst bør vi understreke at ernæringsmangler kan forårsake dem. To eksempler på dette er jern eller vitaminer.
En annen årsak kan være Behçets sykdom, hvis hovedkarakteristikk er betennelse i blodårene. Dette skyldes at sykdommen forårsaker skade på forskjellige organer i kroppen, noe som kan manifestere seg gjennom sår i munnen.
Videre er det vanlig at de som opplever inflammatorisk tarmsykdom også opplever disse lesjonene i munnen. Det samme skjer med tilfeller av cøliaki. I tillegg kan enhver patologi som forårsaker sår og blemmer på huden, som pemfigus, være en mulig årsak.

Lær mer i denne artikkelen: 8 remedier som kan hjelpe til med å helbrede munnsår
Hvordan behandler man munnskold?
Som du kan se, er de fleste typer munnskold godartede. Dette betyr at de vil forsvinne av seg selv og vanligvis ikke trenger behandling. Du må imidlertid undersøke årsaken hvis de har en tendens til å dukke opp igjen og igjen, og det ikke er noen åpenbare årsaker som traumer.
Selv om det er sant at det ikke er noen grunn til å behandle dem, finnes det enkelte produkter som faktisk fremmer og fremskynder bedring. Et eksempel på dette er hyaluronsyre, markedsført i kremer og salver. I tillegg kan noen typer mat irritere såret ytterligere, så unngå dem.
Munnskold kan også skyldes en infeksjon, så i dette tilfellet er du nødt til å behandle dem. Det samme gjelder lesjoner som er en bivirkning av medikamenter. Du bør i så fall bytte medisin.
Du kan bruke munnvann som inneholder bedøvelsesmidler som lidokain hvis ubehaget er for intenst. De som inneholder kortikosteroider kan redusere betennelse.
Snakk med legen din hvis munnskold er for plagsomme eller dukker opp ofte. Dette skyldes at de kan være et symptom på mangler eller en sykdom som krever oppmerksomhet.
Alle siterte kilder ble grundig gjennomgått av teamet vårt for å sikre deres kvalitet, pålitelighet, aktualitet og validitet. Bibliografien i denne artikkelen ble betraktet som pålitelig og av akademisk eller vitenskapelig nøyaktighet.
- ¿Llagas en la boca? Te decimos cómo curarlas | Ferrus&Bratos. (n.d.). Retrieved January 4, 2020, from https://www.clinicaferrusbratos.com/odontologia-general/llagas-boca-por-que-salen-y-como-curarlas/
- Llagas en la boca. (n.d.). Retrieved January 4, 2020, from https://www.cancer.org/es/tratamiento/tratamientos-y-efectos-secundarios/efectos-secundarios-fisicos/problemas-de-la-boca/llagas-en-la-boca.html
- Llagas e inflamación en la boca – Trastornos bucales y dentales – Manual MSD versión para público general. (n.d.). Retrieved January 4, 2020, from https://www.msdmanuals.com/es-es/hogar/trastornos-bucales-y-dentales/síntomas-de-los-trastornos-orales-y-dentales/llagas-e-inflamación-en-la-boca
Denne teksten tilbys kun til informasjonsformål og erstatter ikke konsultasjon med en profesjonell. Ved tvil, konsulter din spesialist.







