Forebygge plakk for bedre tannhelse

Selv om det ikke finnes en endelig løsning for å fjerne plakk og forhindre at det bygger seg opp på tennene, er det en rekke ting du kan gjøre hjemme for å forebygge plakk og hindre utvikling. Vil du lære mer?
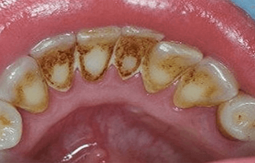
Plakk oppstår når matrester fester seg på tennene, både på fremsiden og baksiden. Dette tannhelseproblemet kan gi dårlig ånde, men kan også forårsake andre problemer. Det skjer når plakk hardner til og forkalker seg på tennene, noe som forårsaker blødninger og tannkjøttsykdommer.
Den beste måten å forebygge plakk på er å endre retningen du pusser tennene. De fleste mennesker pusser tennene med en horisontal bevegelse fra venstre til høyre. Det de kanskje ikke vet er at når man pusser på denne måten øker det følsomheten i tennene. Det kan til og med presse plakk lengre inn mellom tennene.
Så istedenfor: puss tennene dine vertikalt, fra topp til bunn, og prøv alltid å bruke sirkulære bevegelser. Ikke glem å bruke tanntråd etterpå for å fjerne alt av rester mellom tennene. Avslutt med munnskyll, og rens også tannbørsten godt for å fjerne eventuelle matrester som har festet seg til børstehårene.
NB: Sørg for å bytte tannbørste minst 4 ganger i året, og bruk alltid tannkrem som inneholder fluor.
Vi anbefaler:
Hva betyr fargekodene på tubene med tannkrem?
Endring av kostholdet
Å ha et balansert kosthold er noe av det beste man kan gjøre for å forbedre tannhelsen og forebygge plakk. Unngå sukker og karbohydrater så godt du kan, og ikke drikk brus. Eventuelt drikk med sugerør slik at brusen ikke kommer i direkte kontakt med tennene.
Ikke spis for mye mat som inneholder hvitt mel, men om du gjør: husk å pusse tennene rett etterpå for å unngå bakterielle infeksjoner.
Hvordan kan man bidra til god tannhygiene og forebygge plakk?
Hjemmebehandlinger kan noen ganger være svært effektive når man vil bekjempe tannråte og forebygge problemer som plakk. Det er derimot viktig å ikke overdrive slik at du ender opp med å gjøre mer skade enn godt for tennene. Noen hjemmebehandlinger som kan hjelpe mot plakk og forbedre din generelle tannhelse er:
Tyggegummi

Selv om dette er noe kontroversielt, viser en nylig studie at sukkerfri tyggegummi reduserer formasjonen av plakk på tennene. Tygg en tyggegummi etter måltidet for å fjerne eventuelle matrester, og puss deretter tennene for en skikkelig rengjøring.
Bakepulver

Når du pusser tennene, ha litt bakepulver på tannkremen. Bakepulver fjerner rester av mat fra tannoverflaten og kan også gi en signifikant bleking av tennene. Du kan gjøre dette en gang i uken før leggetid, og husk å bruke kun en liten mengde av dette produktet.
Sitron

Sitronjuice er svært effektivt for å forebygge plakk. Sitronsyren har en slipende effekt som hjelper til med å rense munnen nøye. Den gir lysere tenner, fjerner dårlig ånde og kan til og med også bleke tennene. Bruk dette kun 1 gang i uken for å gradvis redusere plakk. Vær nøye med å ikke gjøre dette for ofte fordi behandlingen da kan få motsatt effekt.
Husk!
Selv om det finnes metoder for rensing, bleking og forbedring av din generelle tannhelse, er et besøk hos tannlegen hver 6. måned det beste man kan gjøre for sunne og friske tenner. Det er ingenting som er bedre enn en profesjonell rengjøring som fjerner ukomfortabelt og skadelig plakk.
Selv om det ikke finnes en endelig løsning for å fjerne plakk og forhindre at det bygger seg opp på tennene, er det en rekke ting du kan gjøre hjemme for å forebygge plakk og hindre utvikling. Vil du lære mer?
Plakk oppstår når matrester fester seg på tennene, både på fremsiden og baksiden. Dette tannhelseproblemet kan gi dårlig ånde, men kan også forårsake andre problemer. Det skjer når plakk hardner til og forkalker seg på tennene, noe som forårsaker blødninger og tannkjøttsykdommer.
Den beste måten å forebygge plakk på er å endre retningen du pusser tennene. De fleste mennesker pusser tennene med en horisontal bevegelse fra venstre til høyre. Det de kanskje ikke vet er at når man pusser på denne måten øker det følsomheten i tennene. Det kan til og med presse plakk lengre inn mellom tennene.
Så istedenfor: puss tennene dine vertikalt, fra topp til bunn, og prøv alltid å bruke sirkulære bevegelser. Ikke glem å bruke tanntråd etterpå for å fjerne alt av rester mellom tennene. Avslutt med munnskyll, og rens også tannbørsten godt for å fjerne eventuelle matrester som har festet seg til børstehårene.
NB: Sørg for å bytte tannbørste minst 4 ganger i året, og bruk alltid tannkrem som inneholder fluor.
Vi anbefaler:
Hva betyr fargekodene på tubene med tannkrem?
Endring av kostholdet
Å ha et balansert kosthold er noe av det beste man kan gjøre for å forbedre tannhelsen og forebygge plakk. Unngå sukker og karbohydrater så godt du kan, og ikke drikk brus. Eventuelt drikk med sugerør slik at brusen ikke kommer i direkte kontakt med tennene.
Ikke spis for mye mat som inneholder hvitt mel, men om du gjør: husk å pusse tennene rett etterpå for å unngå bakterielle infeksjoner.
Hvordan kan man bidra til god tannhygiene og forebygge plakk?
Hjemmebehandlinger kan noen ganger være svært effektive når man vil bekjempe tannråte og forebygge problemer som plakk. Det er derimot viktig å ikke overdrive slik at du ender opp med å gjøre mer skade enn godt for tennene. Noen hjemmebehandlinger som kan hjelpe mot plakk og forbedre din generelle tannhelse er:
Tyggegummi

Selv om dette er noe kontroversielt, viser en nylig studie at sukkerfri tyggegummi reduserer formasjonen av plakk på tennene. Tygg en tyggegummi etter måltidet for å fjerne eventuelle matrester, og puss deretter tennene for en skikkelig rengjøring.
Bakepulver

Når du pusser tennene, ha litt bakepulver på tannkremen. Bakepulver fjerner rester av mat fra tannoverflaten og kan også gi en signifikant bleking av tennene. Du kan gjøre dette en gang i uken før leggetid, og husk å bruke kun en liten mengde av dette produktet.
Sitron

Sitronjuice er svært effektivt for å forebygge plakk. Sitronsyren har en slipende effekt som hjelper til med å rense munnen nøye. Den gir lysere tenner, fjerner dårlig ånde og kan til og med også bleke tennene. Bruk dette kun 1 gang i uken for å gradvis redusere plakk. Vær nøye med å ikke gjøre dette for ofte fordi behandlingen da kan få motsatt effekt.
Husk!
Selv om det finnes metoder for rensing, bleking og forbedring av din generelle tannhelse, er et besøk hos tannlegen hver 6. måned det beste man kan gjøre for sunne og friske tenner. Det er ingenting som er bedre enn en profesjonell rengjøring som fjerner ukomfortabelt og skadelig plakk.
Alle siterte kilder ble grundig gjennomgått av teamet vårt for å sikre deres kvalitet, pålitelighet, aktualitet og validitet. Bibliografien i denne artikkelen ble betraktet som pålitelig og av akademisk eller vitenskapelig nøyaktighet.
- Loesche, W. J. (1986). Role of Streptococcus mutans in human dental decay. Microbiological Reviews. https://doi.org/10.1039/b801747f
- Bishara, S. E., & Ostby, A. W. (2008). White Spot Lesions: Formation, Prevention, and Treatment. Seminars in Orthodontics. https://doi.org/10.1053/j.sodo.2008.03.002
- Lussi, A., Hellwig, E., Zero, D., & Jaeggi, T. (2006). Erosive tooth wear: Diagnosis, risk factors and prevention. American Journal of Dentistry.
Denne teksten tilbys kun til informasjonsformål og erstatter ikke konsultasjon med en profesjonell. Ved tvil, konsulter din spesialist.