Hjerneabscess: Diagnose og behandling


Vurdert og godkjent av legen Leonardo Biolatto
En abscess i en hvilken som helst del av kroppen er noe som alltid skaper bekymring når vi blir fortalt om det for første gang og vi ikke vet hva vi skal gjøre med det. For å bekjempe bekymringen og frykten for det ukjente, skal vi fortelle deg hva en hjerneabscess er.
Generell informasjon om hjerneabscess

En hjerneabscess er en opphopning av puss inne i hjernen. Den oppstår når bakterier fra en infeksjon andre steder i hodet, fra blodet eller fra et sår når hjernen.
Væske samler seg vanligvis i vevet rundt en hjerneabscess. Som et resultat svulmer det omkringliggende hjernevevet og intrakranielt trykk øker. Jo større abscessen er, jo mer hevelse og trykk.
Hvis hjerneabscessen lekker eller brister og puss kommer inn i cerebrospinalvæsken, som strømmer gjennom vevet som dekker hjernen og ryggmargen, oppstår hjernehinnebetennelse. Denne patologien kan endre nevrologisk funksjon på grunn av betennelse og alle dens konsekvenser.
Forskjellen mellom hjerneabscess og encefalitt ligger i det faktum at hjernehinnebetennelse ikke forårsaker en fibrøs kapsel. På den annen side har epidemiologien endret seg de siste årene i forhold til bruk og etablering av nye vaksiner, inkludert vaksinen mot Haemophilus influenza type B.
Oppdag mer: Symptomer på en tanninfeksjon som har spredt seg til kroppen
Diagnose av en hjerneabscess
Ulike undersøkelser kan utføres som vil bringe oss nærmere diagnosen og etiologien for at legen skal kunne finne den beste behandlingen som skal følges. Blant teknikkene som er tilgjengelige i dag er følgende:
- Generelle komplementære tester: Disse er vanligvis til liten hjelp og uspesifikke.
- Lumbalpunktur: Dette anbefales ikke når det er mistanke om en fokal lesjon med masseeffekt. Resultatene blir vanligvis ikke veldig spesifikke.
- Computertomografi: Dette har stor diagnostisk nytte, da det lar legen sjekke eventuelle koblinger med den medisinske tilstanden, og etablere behandling i henhold til den tilsvarende fasen. Denne teknikken er også en god undersøkelse for å følge opp utviklingen av patologien etter gjennomføringen av behandlingen.
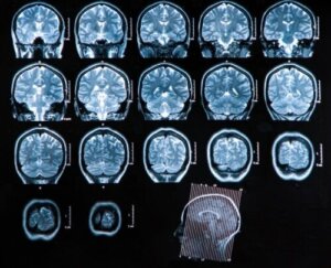
- Magnetisk resonansavbildning: Dette er den beste typen avbildningsstudie for diagnostisering av en hjerneabscess. Det er mye mer følsomt enn datatomografi og gir mange fordeler ved påvisning av tidlig cerebritt, og ødem og bedre differensiering mellom områder med betennelse og andre berørte strukturer.
- Scintigrafi: Dette er en test som radioaktivt markerer noen celler. Disse cellene kommer i fokus for betennelse, og skiller dermed hjerneabscess fra andre årsaker til betennelser.
- Enkeltfotonemisjonstomografi: Dette er en undersøkelse som har vist effekt hos AIDS-pasienter for differensiering mellom primær cerebralt lymfom og infeksiøse hjernelesjoner.
- Biopsi.
Les også: Krystallartritt: Symptomer, årsaker, diagnose og behandling

Hvilken behandling brukes?
Behandlingen inkluderer nevrokirurgiske prosedyrer rettet mot å drenere abscessen, i tillegg til bruk av medikamenter for å redusere betennelse og størrelsen på lesjonen. Antibiotika og kortikosteroider er noen av eksemplene.
Antibiotika
En trippel resept blir skrevet ut for å håndtere de viktigste tegnene og symptomene, ved bruk av vankomycin, ceftriakson og metronidazol. Tredjegenerasjons cefalosporiner og metronidazol har et tilstrekkelig antimikrobielt spektrum og penetrasjon til sentralnervesystemet, så de er nyttige for de fleste infeksjoner forbundet med denne patologien.
Kortikosteroider
Bruken av disse stoffene for å behandle denne patologien er kontroversiell, siden det ikke er noen randomiserte studier som støtter deres effektivitet i denne innstillingen. Glukokortikoider administreres når det er vasogent ødem rundt abscessen og økt trykk.
Dette antyder at de kun kan brukes i den akutte fasen av sykdommen for behandling av endokraniell hypertensjon. Imidlertid kan bruken av disse legemidlene også være nyttig for kontroll av postoperativt ødem etter nevrokirurgens skjønn.
En kompleks patologi som krever legehjelp
På grunn av de potensielle komplikasjonene som kan oppstå, bør pasienter med symptomer som er forenlige med en hjerneabscess så snart som mulig dra til akuttmottaket for spesialisert utredning. Jo tidligere behandling igangsettes, jo større er sjansene for å lykkes.
En abscess i en hvilken som helst del av kroppen er noe som alltid skaper bekymring når vi blir fortalt om det for første gang og vi ikke vet hva vi skal gjøre med det. For å bekjempe bekymringen og frykten for det ukjente, skal vi fortelle deg hva en hjerneabscess er.
Generell informasjon om hjerneabscess

En hjerneabscess er en opphopning av puss inne i hjernen. Den oppstår når bakterier fra en infeksjon andre steder i hodet, fra blodet eller fra et sår når hjernen.
Væske samler seg vanligvis i vevet rundt en hjerneabscess. Som et resultat svulmer det omkringliggende hjernevevet og intrakranielt trykk øker. Jo større abscessen er, jo mer hevelse og trykk.
Hvis hjerneabscessen lekker eller brister og puss kommer inn i cerebrospinalvæsken, som strømmer gjennom vevet som dekker hjernen og ryggmargen, oppstår hjernehinnebetennelse. Denne patologien kan endre nevrologisk funksjon på grunn av betennelse og alle dens konsekvenser.
Forskjellen mellom hjerneabscess og encefalitt ligger i det faktum at hjernehinnebetennelse ikke forårsaker en fibrøs kapsel. På den annen side har epidemiologien endret seg de siste årene i forhold til bruk og etablering av nye vaksiner, inkludert vaksinen mot Haemophilus influenza type B.
Oppdag mer: Symptomer på en tanninfeksjon som har spredt seg til kroppen
Diagnose av en hjerneabscess
Ulike undersøkelser kan utføres som vil bringe oss nærmere diagnosen og etiologien for at legen skal kunne finne den beste behandlingen som skal følges. Blant teknikkene som er tilgjengelige i dag er følgende:
- Generelle komplementære tester: Disse er vanligvis til liten hjelp og uspesifikke.
- Lumbalpunktur: Dette anbefales ikke når det er mistanke om en fokal lesjon med masseeffekt. Resultatene blir vanligvis ikke veldig spesifikke.
- Computertomografi: Dette har stor diagnostisk nytte, da det lar legen sjekke eventuelle koblinger med den medisinske tilstanden, og etablere behandling i henhold til den tilsvarende fasen. Denne teknikken er også en god undersøkelse for å følge opp utviklingen av patologien etter gjennomføringen av behandlingen.
- Magnetisk resonansavbildning: Dette er den beste typen avbildningsstudie for diagnostisering av en hjerneabscess. Det er mye mer følsomt enn datatomografi og gir mange fordeler ved påvisning av tidlig cerebritt, og ødem og bedre differensiering mellom områder med betennelse og andre berørte strukturer.
- Scintigrafi: Dette er en test som radioaktivt markerer noen celler. Disse cellene kommer i fokus for betennelse, og skiller dermed hjerneabscess fra andre årsaker til betennelser.
- Enkeltfotonemisjonstomografi: Dette er en undersøkelse som har vist effekt hos AIDS-pasienter for differensiering mellom primær cerebralt lymfom og infeksiøse hjernelesjoner.
- Biopsi.
Les også: Krystallartritt: Symptomer, årsaker, diagnose og behandling

Hvilken behandling brukes?
Behandlingen inkluderer nevrokirurgiske prosedyrer rettet mot å drenere abscessen, i tillegg til bruk av medikamenter for å redusere betennelse og størrelsen på lesjonen. Antibiotika og kortikosteroider er noen av eksemplene.
Antibiotika
En trippel resept blir skrevet ut for å håndtere de viktigste tegnene og symptomene, ved bruk av vankomycin, ceftriakson og metronidazol. Tredjegenerasjons cefalosporiner og metronidazol har et tilstrekkelig antimikrobielt spektrum og penetrasjon til sentralnervesystemet, så de er nyttige for de fleste infeksjoner forbundet med denne patologien.
Kortikosteroider
Bruken av disse stoffene for å behandle denne patologien er kontroversiell, siden det ikke er noen randomiserte studier som støtter deres effektivitet i denne innstillingen. Glukokortikoider administreres når det er vasogent ødem rundt abscessen og økt trykk.
Dette antyder at de kun kan brukes i den akutte fasen av sykdommen for behandling av endokraniell hypertensjon. Imidlertid kan bruken av disse legemidlene også være nyttig for kontroll av postoperativt ødem etter nevrokirurgens skjønn.
En kompleks patologi som krever legehjelp
På grunn av de potensielle komplikasjonene som kan oppstå, bør pasienter med symptomer som er forenlige med en hjerneabscess så snart som mulig dra til akuttmottaket for spesialisert utredning. Jo tidligere behandling igangsettes, jo større er sjansene for å lykkes.
Alle siterte kilder ble grundig gjennomgått av teamet vårt for å sikre deres kvalitet, pålitelighet, aktualitet og validitet. Bibliografien i denne artikkelen ble betraktet som pålitelig og av akademisk eller vitenskapelig nøyaktighet.
- Antonio, M. D. D. G., Elizabeth, A. Y., & Alberto, M. A. (2010). Absceso cerebral. Revista Mexicana de Neurociencia.
- Chacón Mercado, M. (2002). Abscesos cerebrales. Médica Sur.
- Molina de Dios, G., Armijo Yescas, E., & Mimenza Alvarado, A. (2010). Absceso cerebral. Revista Mexicana de Neurociencia. https://doi.org/10.1157/13042996
Denne teksten tilbys kun til informasjonsformål og erstatter ikke konsultasjon med en profesjonell. Ved tvil, konsulter din spesialist.







