Hva vil det egentlig si å ha en lungeknute?

Kreft er kanskje det første som kommer til tankene når du hører at noen har en lungeknute. Dette er imidlertid hovedsakelig en godartet tilstand, selv om det kan være en kobling mellom begge sykdommer.
En lungeknute er en masse som måler mellom fem og tretti millimeter. Det er en stadig hyppigere tilstand, og nåværende estimater indikerer at det påvirker rundt 0,2% av befolkningen. Den gode nyheten er at nesten 60% av disse knutene er godartede.
Årsakene til denne sykdommen spenner fra en infeksjon til en svulst. De fleste av de sistnevnte blir funnet ved en tilfeldighet når du utfører en CT-skanning eller en røntgen.
Det er viktig å diagnostisere denne situasjonen tidlig for å unngå komplikasjoner og utelukke noe mer alvorlig. I dagens artikkel forklarer vi derfor alt du trenger å vite om en lungeknute og hva symptomene er.
Årsakene til en lungeknute
Som vi nevnte ovenfor er en lungeknute en masse i lungene, og årsakene kan variere. De fleste av dem skyldes en infeksjon – enten bakteriell, sopp eller parasitter.
Når det gjelder smittsomme årsaker må du være oppmerksom på at lungeknuter er vanlig hos personer med tuberkulose. Ja, det skjer fremdeles selv om forekomsten er lav.
Du vil kanskje like: Optimaliser lungene dine ved å spise dette
Neoplastisk sykdom
For øyeblikket er det første en lege vil gjøre å utelukke om lungeknuten er kreftfremkallende. Dette skyldes at lungekreft er en av de hyppigste variantene av kreft.
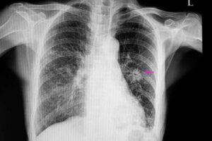
I slike tilfeller vil en lungeknute ha et uregelmessig utseende med dårlig definerte kanter; dette er synlig på røntgenbildet. Dessuten er de vanligvis mindre enn de godartede. I tillegg er de en del av visse risikofaktorer, for eksempel:
- Røyking
- Å være over 35 år
- En tidligere historie med kreft
- Lungeknuten vokste raskt de siste månedene
Det er imidlertid viktig å vite at ikke alle neoplastiske lungeknuter er ondartede. Det finnes noen godartede varianter, selv om disse er sjeldnere.

Andre årsaker til en lungenute
Det er mange andre sykdommer som kan være resultatet av denne lungelidelsen. For eksempel visse autoimmune prosesser som Wegeners granulomatose eller revmatoid knute. Begge er sjeldne.
Tilsvarende kan lungeknuter hos noen mennesker oppstå på grunn av traumer. Dette skyldes sannsynligvis en metabolsk sykdom som kalles amyloidose eller etter en bronkial cyste.
Hvordan diagnostiserer leger en lungeknute?
For det første er det viktig å ha en fullstendig medisinsk historie av en person for å diagnostisere en lungeknute og bestemme årsaken. En pasient må vite om de tidligere har hatt tuberkulose eller om de har blitt utsatt for visse infeksjoner fra smittede mennesker.
Det er også viktig å vite om de er røykere eller ikke. Mange studier avslørte at en stor del lungeknuter er kreftfremkallende og relatert til røyking.
Når dette er gjort må en lege utføre visse avbildningstester for å lokalisere knutepunktet. I tillegg vil bildene vise visse egenskaper som form og størrelse. Dette er fordi de er viktige for å skille en godartet knute fra en muligens ondartet variant.
De vanligste måtene å diagnostisere dem på, er via røntgenbilder av brystet og computertomografier. For å finne den eksakte årsaken til en lungeknute gjør også legene noen ganger biopsier, da disse lar dem analysere vevet.

Les også: Nanopartikler som dreper lungekreftceller funnet i teblader
Hva er den beste behandlingen?
Behandlingen som følges vil avhenge av årsaken til lungeknuten. For det første kan det være behov for antibiotika eller soppdrepende stoffer når det skyldes en smittsom prosess.
Hvis årsaken er uklar vil behandlingen fokusere på pasientens risiko for kreft. For eksempel kan unge ikke-røykere bare kalles inn for periodiske kontroller. Hovedsakelig for å sjekke om knuten endrer seg eller vokser.
Tilsvarende, hvis det er fare for kreft, er det viktig at legen følger opp med en biopsi. Hvis knuten faktisk var kreftfremkallende må de planlegge et kirurgisk inngrep for å fjerne den. Når det ikke er mulig å operere, kan de foreslå cellegift eller strålebehandling.
Til slutt må vi trekke frem den negative effekten av tobakk i lungene. Du må være bevisst risikoen og gjennomgå hyppige medisinske kontroller for å diagnostisere denne typen patologier så snart som mulig.
Kreft er kanskje det første som kommer til tankene når du hører at noen har en lungeknute. Dette er imidlertid hovedsakelig en godartet tilstand, selv om det kan være en kobling mellom begge sykdommer.
En lungeknute er en masse som måler mellom fem og tretti millimeter. Det er en stadig hyppigere tilstand, og nåværende estimater indikerer at det påvirker rundt 0,2% av befolkningen. Den gode nyheten er at nesten 60% av disse knutene er godartede.
Årsakene til denne sykdommen spenner fra en infeksjon til en svulst. De fleste av de sistnevnte blir funnet ved en tilfeldighet når du utfører en CT-skanning eller en røntgen.
Det er viktig å diagnostisere denne situasjonen tidlig for å unngå komplikasjoner og utelukke noe mer alvorlig. I dagens artikkel forklarer vi derfor alt du trenger å vite om en lungeknute og hva symptomene er.
Årsakene til en lungeknute
Som vi nevnte ovenfor er en lungeknute en masse i lungene, og årsakene kan variere. De fleste av dem skyldes en infeksjon – enten bakteriell, sopp eller parasitter.
Når det gjelder smittsomme årsaker må du være oppmerksom på at lungeknuter er vanlig hos personer med tuberkulose. Ja, det skjer fremdeles selv om forekomsten er lav.
Du vil kanskje like: Optimaliser lungene dine ved å spise dette
Neoplastisk sykdom
For øyeblikket er det første en lege vil gjøre å utelukke om lungeknuten er kreftfremkallende. Dette skyldes at lungekreft er en av de hyppigste variantene av kreft.
I slike tilfeller vil en lungeknute ha et uregelmessig utseende med dårlig definerte kanter; dette er synlig på røntgenbildet. Dessuten er de vanligvis mindre enn de godartede. I tillegg er de en del av visse risikofaktorer, for eksempel:
- Røyking
- Å være over 35 år
- En tidligere historie med kreft
- Lungeknuten vokste raskt de siste månedene
Det er imidlertid viktig å vite at ikke alle neoplastiske lungeknuter er ondartede. Det finnes noen godartede varianter, selv om disse er sjeldnere.

Andre årsaker til en lungenute
Det er mange andre sykdommer som kan være resultatet av denne lungelidelsen. For eksempel visse autoimmune prosesser som Wegeners granulomatose eller revmatoid knute. Begge er sjeldne.
Tilsvarende kan lungeknuter hos noen mennesker oppstå på grunn av traumer. Dette skyldes sannsynligvis en metabolsk sykdom som kalles amyloidose eller etter en bronkial cyste.
Hvordan diagnostiserer leger en lungeknute?
For det første er det viktig å ha en fullstendig medisinsk historie av en person for å diagnostisere en lungeknute og bestemme årsaken. En pasient må vite om de tidligere har hatt tuberkulose eller om de har blitt utsatt for visse infeksjoner fra smittede mennesker.
Det er også viktig å vite om de er røykere eller ikke. Mange studier avslørte at en stor del lungeknuter er kreftfremkallende og relatert til røyking.
Når dette er gjort må en lege utføre visse avbildningstester for å lokalisere knutepunktet. I tillegg vil bildene vise visse egenskaper som form og størrelse. Dette er fordi de er viktige for å skille en godartet knute fra en muligens ondartet variant.
De vanligste måtene å diagnostisere dem på, er via røntgenbilder av brystet og computertomografier. For å finne den eksakte årsaken til en lungeknute gjør også legene noen ganger biopsier, da disse lar dem analysere vevet.

Les også: Nanopartikler som dreper lungekreftceller funnet i teblader
Hva er den beste behandlingen?
Behandlingen som følges vil avhenge av årsaken til lungeknuten. For det første kan det være behov for antibiotika eller soppdrepende stoffer når det skyldes en smittsom prosess.
Hvis årsaken er uklar vil behandlingen fokusere på pasientens risiko for kreft. For eksempel kan unge ikke-røykere bare kalles inn for periodiske kontroller. Hovedsakelig for å sjekke om knuten endrer seg eller vokser.
Tilsvarende, hvis det er fare for kreft, er det viktig at legen følger opp med en biopsi. Hvis knuten faktisk var kreftfremkallende må de planlegge et kirurgisk inngrep for å fjerne den. Når det ikke er mulig å operere, kan de foreslå cellegift eller strålebehandling.
Til slutt må vi trekke frem den negative effekten av tobakk i lungene. Du må være bevisst risikoen og gjennomgå hyppige medisinske kontroller for å diagnostisere denne typen patologier så snart som mulig.
Alle siterte kilder ble grundig gjennomgått av teamet vårt for å sikre deres kvalitet, pålitelighet, aktualitet og validitet. Bibliografien i denne artikkelen ble betraktet som pålitelig og av akademisk eller vitenskapelig nøyaktighet.
- Un nódulo pulmonar solitario | Medicina Integral. (n.d.). Retrieved December 24, 2019, from https://www.elsevier.es/es-revista-medicina-integral-63-articulo-un-nodulo-pulmonar-solitario-13046283
- Nódulos pulmonares: ¿Pueden ser cancerosos? Mayo Clinic. https://www.mayoclinic.org/es-es/diseases-conditions/lung-cancer/expert-answers/lung-nodules/faq-20058445#:~:text=Los%20n%C3%B3dulos%20pulmonares%20no%20cancerosos%20generalmente%20no%20requieren%20tratamiento.,o%20cambia%20con%20el%20tiempo.
- Prevención del cáncer de pulmón (PDQ®)–Versión para profesionales de salud. Instituto Nacional del Cáncer. https://www.cancer.gov/espanol/tipos/pulmon/pro/prevencion-pulmon-pdq
Denne teksten tilbys kun til informasjonsformål og erstatter ikke konsultasjon med en profesjonell. Ved tvil, konsulter din spesialist.







