Hva er egentlig et hypofyseadenom?

Et hypofyseadenom er en langsomt voksende godartet svulst. Det har sin opprinnelse i cellene i hypofysen. Dette er en kjertel som regulerer funksjonen av andre kjertler i kroppen, noe som gjør den veldig viktig.
Et hypofyseadenom er imidlertid relativt vanlig og forekommer hos omtrent 1 av hver 1000 voksne. Det er ingen forskjell når det gjelder kjønn, ettersom det berører menn og kvinner i like stor grad. Det er større forekomst mellom 30 og 40 årsalderen.
Det er generelt sett en godartet og saktevoksende svulst. Dermed er karsinom i hypofysen, eller ondartede svulster, veldig uvanlig. Vi vet fremdeles ikke de faktiske årsakene til hypofyseadenom. I noen tilfeller er det imidlertid relatert til en genetisk sykdom som kalles Multippel endokrin neoplasi.
Symptomer på hypofysenadenom

Det viktigste symptomet som følge av slike svulster er en endring i sekresjonen av hormoner. Avhengig av forekomsten av svulster i hypofysen kan de produsere for mye av ett eller flere hormoner. På grunn av endringen i det endokrine systemet kan symptomene være:
- Hypertyreoidisme: Skjoldkjertelen produserer for store mengder hormoner (Dette symptomet er ganske uvanlig hos de som er rammet av hypofysenadenom).
- Cushings syndrom: Her er nivået av kortisol, et hormon, høyere enn normalt.
- Akromegali: Barn med et høyt nivå av veksthormonet kan lide av gigantisme. Hvis det skjer hos en voksen, kan det være akromegali.
- Sekresjon og produksjon av melk hos både menn og kvinner.
- Uregelmessige menstruasjoner hos kvinner på grunn av en endring av kjønnshormonene.
Derimot oppstår noen spesifikke symptomer når det er en komprimering av hjernestrukturer på grunn av en stor hypofysetumor. De kan omfatte:
- Synsforstyrrelser som dobbeltsyn, tap av synsfelt, hengende øyelokk eller endringer i fargesynet.
- Hodepine.
- Tretthet og døsighet.
- En nasal strøm av klar væske.
- Kvalme og oppkast.
- Problemer med luktesansen.
Disse symptomene kan være bekymringsfulle hvis de vises plutselig og samtidig. De kan også føre til hypofyseinfarkt. Hvis du merker noen av disse symptomene, dra til legen så snart som mulig.
Du kan også være interessert i å lese denne artikkelen: 14 tegn og symptomer på skjoldbruskkjertelproblemer
Typer adenomer
Vi kan klassifisere hypofyseadenomer etter størrelse på følgende måte:
- Mikroadenom: Disse er mindre enn 10 mm i diameter.
- Makroadenom: Disse er større enn 10 mm i diameter. Denne typen adenom fører ofte til et stort underskudd i ett eller flere hypofysehormoner.
Dessuten kan man klassifisere dem etter om de utskiller hormoner eller ikke. I henhold til disse kriteriene kan de være funksjonelle hvis de skiller ut hormoner av seg selv. På den annen side er de ikke-funksjonelle adenomer hvis de ikke skiller ut hormoner.
Diagnose av hypofyseadenom

Når det gjelder diagnose, må en lege utføre en fysisk undersøkelse for å analysere om det er noen problemer med dobbeltsyn og synsfelt. Også en laboratorietekniker studerer tapet av side- eller perifert syn og evnen til å se i visse områder.
Deretter utfører de en analyse av den endokrine funksjonen for å se etter tegn på hormonelt overskudd eller andre uregelmessigheter. Dermed kan de måle parametere som forhøyede kortisolnivåer, Cushings syndrom eller for mye veksthormon.
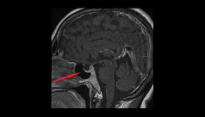
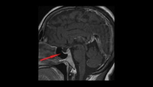
De mest relevante testene som hjelper til med å bekrefte diagnosen, er synsfeltet og CT- og hjerner MR.
Ikke gå glipp av denne artikkelen: 6 tegn på høye kortisolnivåer i kroppen din
Behandlinger for hypofyseadenom
Totalt sett inkluderer nåværende terapeutiske alternativer:
- Farmakologisk behandling og hormonerstatning: Medisiner som blokkerer hormonell sekresjon kan kontrollere symptomer og til og med redusere størrelsen av en svulst.
- Strålebehandlingsteknikker: Disse brukes ofte for å redusere størrelsen av en svulst.
- Hypofyseadenomkirurgi: Disse svulstene blir vanligvis fjernet gjennom nesehulen. I andre tilfeller kan legen imidlertid være nødt til å gjennomføre en kraniotomi eller åpne hodeskallen.
- Endoskopisk nesekirurgi består av å introdusere et endoskop gjennom neseborene og skyve det mellom det midterste turbinatet og neseseptumet til de finner kilebeinhullet. Dette hullet forstørres for å oppnå en tilstrekkelig åpning av bihulene og for å kunne visualisere gulvet i sella turcica for å fjerne svulsten.
Blindhet er den alvorligste komplikasjonen hvis det er alvorlig skade i synsnerven. Svulsten eller dens eksisjon kan også forårsake hormonell ubalanse og føre til diabetes insipidus. De karakteristiske symptomene for denne typen diabetes er hyppig vannlating og ekstrem tørste.
Det er uansett viktig å søke behandling så tidlig som mulig hvis du merker noen av symptomene vi nevnte ovenfor.
Et hypofyseadenom er en langsomt voksende godartet svulst. Det har sin opprinnelse i cellene i hypofysen. Dette er en kjertel som regulerer funksjonen av andre kjertler i kroppen, noe som gjør den veldig viktig.
Et hypofyseadenom er imidlertid relativt vanlig og forekommer hos omtrent 1 av hver 1000 voksne. Det er ingen forskjell når det gjelder kjønn, ettersom det berører menn og kvinner i like stor grad. Det er større forekomst mellom 30 og 40 årsalderen.
Det er generelt sett en godartet og saktevoksende svulst. Dermed er karsinom i hypofysen, eller ondartede svulster, veldig uvanlig. Vi vet fremdeles ikke de faktiske årsakene til hypofyseadenom. I noen tilfeller er det imidlertid relatert til en genetisk sykdom som kalles Multippel endokrin neoplasi.
Symptomer på hypofysenadenom

Det viktigste symptomet som følge av slike svulster er en endring i sekresjonen av hormoner. Avhengig av forekomsten av svulster i hypofysen kan de produsere for mye av ett eller flere hormoner. På grunn av endringen i det endokrine systemet kan symptomene være:
- Hypertyreoidisme: Skjoldkjertelen produserer for store mengder hormoner (Dette symptomet er ganske uvanlig hos de som er rammet av hypofysenadenom).
- Cushings syndrom: Her er nivået av kortisol, et hormon, høyere enn normalt.
- Akromegali: Barn med et høyt nivå av veksthormonet kan lide av gigantisme. Hvis det skjer hos en voksen, kan det være akromegali.
- Sekresjon og produksjon av melk hos både menn og kvinner.
- Uregelmessige menstruasjoner hos kvinner på grunn av en endring av kjønnshormonene.
Derimot oppstår noen spesifikke symptomer når det er en komprimering av hjernestrukturer på grunn av en stor hypofysetumor. De kan omfatte:
- Synsforstyrrelser som dobbeltsyn, tap av synsfelt, hengende øyelokk eller endringer i fargesynet.
- Hodepine.
- Tretthet og døsighet.
- En nasal strøm av klar væske.
- Kvalme og oppkast.
- Problemer med luktesansen.
Disse symptomene kan være bekymringsfulle hvis de vises plutselig og samtidig. De kan også føre til hypofyseinfarkt. Hvis du merker noen av disse symptomene, dra til legen så snart som mulig.
Du kan også være interessert i å lese denne artikkelen: 14 tegn og symptomer på skjoldbruskkjertelproblemer
Typer adenomer
Vi kan klassifisere hypofyseadenomer etter størrelse på følgende måte:
- Mikroadenom: Disse er mindre enn 10 mm i diameter.
- Makroadenom: Disse er større enn 10 mm i diameter. Denne typen adenom fører ofte til et stort underskudd i ett eller flere hypofysehormoner.
Dessuten kan man klassifisere dem etter om de utskiller hormoner eller ikke. I henhold til disse kriteriene kan de være funksjonelle hvis de skiller ut hormoner av seg selv. På den annen side er de ikke-funksjonelle adenomer hvis de ikke skiller ut hormoner.
Diagnose av hypofyseadenom

Når det gjelder diagnose, må en lege utføre en fysisk undersøkelse for å analysere om det er noen problemer med dobbeltsyn og synsfelt. Også en laboratorietekniker studerer tapet av side- eller perifert syn og evnen til å se i visse områder.
Deretter utfører de en analyse av den endokrine funksjonen for å se etter tegn på hormonelt overskudd eller andre uregelmessigheter. Dermed kan de måle parametere som forhøyede kortisolnivåer, Cushings syndrom eller for mye veksthormon.
De mest relevante testene som hjelper til med å bekrefte diagnosen, er synsfeltet og CT- og hjerner MR.
Ikke gå glipp av denne artikkelen: 6 tegn på høye kortisolnivåer i kroppen din
Behandlinger for hypofyseadenom
Totalt sett inkluderer nåværende terapeutiske alternativer:
- Farmakologisk behandling og hormonerstatning: Medisiner som blokkerer hormonell sekresjon kan kontrollere symptomer og til og med redusere størrelsen av en svulst.
- Strålebehandlingsteknikker: Disse brukes ofte for å redusere størrelsen av en svulst.
- Hypofyseadenomkirurgi: Disse svulstene blir vanligvis fjernet gjennom nesehulen. I andre tilfeller kan legen imidlertid være nødt til å gjennomføre en kraniotomi eller åpne hodeskallen.
- Endoskopisk nesekirurgi består av å introdusere et endoskop gjennom neseborene og skyve det mellom det midterste turbinatet og neseseptumet til de finner kilebeinhullet. Dette hullet forstørres for å oppnå en tilstrekkelig åpning av bihulene og for å kunne visualisere gulvet i sella turcica for å fjerne svulsten.
Blindhet er den alvorligste komplikasjonen hvis det er alvorlig skade i synsnerven. Svulsten eller dens eksisjon kan også forårsake hormonell ubalanse og føre til diabetes insipidus. De karakteristiske symptomene for denne typen diabetes er hyppig vannlating og ekstrem tørste.
Det er uansett viktig å søke behandling så tidlig som mulig hvis du merker noen av symptomene vi nevnte ovenfor.
Alle siterte kilder ble grundig gjennomgått av teamet vårt for å sikre deres kvalitet, pålitelighet, aktualitet og validitet. Bibliografien i denne artikkelen ble betraktet som pålitelig og av akademisk eller vitenskapelig nøyaktighet.
-
Jaime, M. de, López, F., & Cabrera, G. (2003). Patología de los adenomas hipofisarios. Patología.
-
Betanzos, R. R., Gerardo, E., Pérez, D., Apolonia, S., Montaño, A., Sánchez, V., … Mendoza, C. (2009). Artículo de revisión Acromegalia. Mcm.
-
CARNEIRO, C. C., MENDES, B. B., & BASTOS, L. G. (2015). ADENOMA HIPOFISÁRIO: CORRELAÇÃO CLÍNICA, LABORATORIAL E RADIOLÓGICA. REVISTA DA UNIVERSIDADE VALE DO RIO VERDE. https://doi.org/10.5892/ruvrd.v13i1.1979
Denne teksten tilbys kun til informasjonsformål og erstatter ikke konsultasjon med en profesjonell. Ved tvil, konsulter din spesialist.







