Hvite flekker på tennene: Hvorfor oppstår de?

Hvite flekker på tennene kan oppstå av ulike årsaker og kan være relatert til ulike faktorer. For de som har dem representerer de et estetisk problem. I tillegg kan de også representere en underliggende tilstand.
Faktisk, i noen tilfeller, er de et tegn som indikerer at tannhygienen svikter, at bakteriell plakk samler seg og at tennene mister mineralene sine. Andre ganger kan de imidlertid forårsakes av andre situasjoner, og i denne artikkelen tar vi en titt på dem alle.
Å vite opprinnelsen til hvite flekker på tennene gjør at vi kan bestemme behandlingen som skal utføres. I de fleste tilfeller har de en ganske enkel løsning og personen kan igjen få et vakkert smil. Les videre for å lære mer om hvite flekker på tennene.
Hva er hvite flekker på tennene?
Hvite flekker på tennene blir sett på som en endring i fargen på overflaten av tannemaljen. De er synlige som områder med et hvitt utseende, som står i kontrast til den normale lyse gulaktige eller gråhvite fargen på tannen.
Hvite flekker på tennene er ganske vanlig, og deres forekomst er relatert til flere faktorer. Mangel på tannhygiene er den hyppigste årsaken. Overdrevent inntak av sukkerholdig mat, utbrudd av hull, hypoplasi og fluorose kan være andre årsaker til opprinnelsen.
Disse flekkene kan oppstå hos både barn og voksne og i både midlertidige og permanente tenner. Tilstedeværelsen deres er ikke bare et helseproblem, men også et estetisk problem. Noen ganger forårsaker det usikkerhet og lav selvtillit hos personen som har dem, og denne personen kan prøve å skjule smilet sitt på grunn av måten tennene hans eller hennes ser ut.
Å kunne avklare årsaken til hvite flekker på tennene gjør det mulig å planlegge riktig behandling og iverksette nødvendige tiltak for å unngå forekomsten av nye lesjoner. Det er best å gå til tannlegen når du merker endringer i fargen på tennene dine.
Hvite flekker på tennene og deres forhold til orale sykdommer
Som vi allerede har nevnt, er det forskjellige årsaker til at hvite flekker vises på tennene. Noen er relatert til øyeblikket for dannelsen av tennene og andre til ytre situasjoner som oppstår når orale sykdommer manifesterer seg med disse lesjonene.

1. Dental hypoplasi
Denne tilstanden er forårsaket av mangelfull og utilstrekkelig mineralisering i prosessen med dannelse av det harde vevet i tannen. Det er en forandring som oppstår under utviklingen av tennene – dvs. i mors liv eller i løpet av de første leveårene.
Det er flere årsaker som kan gi opphav til dental hypoplasi:
- Problemer under graviditet: Å lide av visse problemer under graviditeten når babyens fremtidige tenner dannes kan endre mineraliseringen og forårsake hypoplasier. Høy feber, infeksjoner, mors sykdommer, ernæringsmessige mangler eller å ta visse medisiner under svangerskapet gir opphav til denne tilstanden.
- Problemer i tidlig barndom: Å lide av visse tilstander de første leveårene når tennene fortsatt dannes, forårsaker også hypoplasier. Premature fødsler, lav fødselsvekt, infeksjoner, høy feber, systemiske sykdommer, underernæring og vitaminmangel er noen eksempler som kan endre mineraliseringen av tenner.
- Traumer: Når et slag påvirker en melketann, kan det skade kimen til den permanente tannen som dannes inne i beinet gjennom roten. Dette forårsaker hypoplasi i den permanente tannen.
Liker du denne artikkelen? Du kan også like å lese: Hva er svarte flekker på tungen?
2. Hvite flekker på tennene på grunn av fluorose
Dental fluorose er en patologi forårsaket av overdrevent fluoridforbruk i perioden med tanndannelse. Å overskride de anbefalte daglige dosene for dette mineralet når tenner utvikler seg er det som forårsaker problemet.
I noen regioner av verden inneholder drikkevann en høy mengde av dette mineralet, og forbruket av det under utviklingen av tenner kan forårsake fluorose. Bruk av fluortilskudd når det ikke er nødvendig eller inntak av fluor i tannkrem med høye konsentrasjoner kan også være opprinnelsen.
Fluorose viser seg som hvite flekker på overflaten av tennene. Disse hvite flekkene påvirker vanligvis flere tenner som er berørt, og de har en tendens til å ha karakteristiske striper. I mer alvorlige tilfeller er fargen mer brunaktig og ufullkommenheter som ruhet og groper kan også observeres på tannkronene.
3. Hull
En av de hyppigste årsakene til hvite flekker på tennene er hull i tennene. Utbruddet av denne sykdommen manifesteres av en hvit og matt farge.
Denne tilstanden er forårsaket av tap av mineraler fra emaljen på tannkronen. Dette skjer på grunn av virkningen av syrer produsert av bakterier som fermenterer karbohydrater i kosten.
Derfor er denne typen hvite flekk assosiert med dårlig tannhygiene og et kosthold rikt på karbohydrater, spesielt matvarer rike på sukker. Dette favoriserer dannelse og oppsamling av bakterielt plakk som gir opphav til karies.
Generelt går denne tilstanden ofte ubemerket hen av pasientene, så regelmessige tannkontroller er avgjørende. Dette tidlige stadiet av sykdommen er reversibelt, og med bruk av terapeutisk fluor kan tannen gjenopprette helsen.
4. Avkalking av tennene
Det er lokaliserte områder med kalsiumtap og mangel på kalsium som viser seg som hvite flekker på tennene. Disse kan være forårsaket av forskjellige årsaker:
- Dental erosjon: Hyppig utsettelse av overflaten av tennene for påvirkning av syrer, brus, sitronsyre eller eddik påvirker tannemaljen. Å lide av sure oppstøt kan også endre tannoverflaten.
- Svært traumatisk tannhygienepraksis: Å pusse tennene for fort med for mye trykk, bruke for mye kraft eller bruke en veldig hard bustbørste ofte kan slite på tannemaljen.
- Ernæringsmessige mangler: Mangel på tilstrekkelige næringsstoffer og lengre perioder med surhet i munnmiljøet fremmer tap av mineraler fra tennene.
- Munntørrhet: Mangel på spytt fremmer tap av mineraler fra tennene.
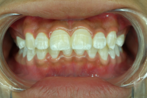
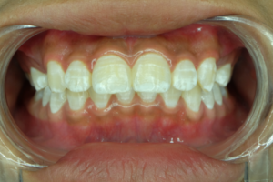
5. Hvite flekker forbundet med kjeveortopedisk behandling
Det er en sammenheng mellom kjeveortopedisk behandling med tannregulering og hvite flekker på tennene. Imidlertid er det ikke tannreguleringen som forårsaker disse feilene i tennene, men vanskeligheten med å opprettholde riktig tannhygiene gir ofte opphav til tilstanden
Unnlatelse av å rense alle områder av munnen på riktig måte fører til oppsamling av plakk rundt tannreguleringen og under båndene. Dette resulterer i demineralisering av emaljen som ses som hvite flekker på tennene. Generelt blir disse tydelige når tannreguleringen fjernes og bør behandles på det tidspunktet.
Vi tror du kan være interessert i å lese dette også: Forholdet mellom oral helse og inflammatorisk tarmsykdom
Hvordan fjerne hvite flekker på tennene
Som vi allerede har nevnt, er det først nødvendig å finne årsaken til hvite flekker på tennene for å bestemme hvilken behandling som skal brukes for å reversere dem. Å oppsøke en tannlege lar deg få en nøyaktig diagnose og planlegge behandlingen som er angitt for hvert enkelt tilfelle. Deretter kan de anbefale en av følgende behandlinger.
1. Terapeutisk fluor
Fluor brukes til å behandle hvite flekker forårsaket av avkalkinger og de første stadiene av hull. Ved å påføre elementet lokalt på tennene kan de remineraliseres.
Behandlingen utføres ved at tannlegen på tannlegekontoret legger fluor på tannoverflaten og lar den virke en stund. Det kommer i form av geler, lakk eller skum som inneholder en høy konsentrasjon av mineralet.
Etter påføring av produktet vil tannlegen instruere pasienten om å ikke spise, drikke eller skylle munnen på noen timer. I tillegg vil tannlegen angi hvor ofte prosedyren skal gjentas for å reversere tilstanden.
2. Dental mikroslitasje
Denne behandlingen er nyttig for å behandle overfladiske hvite flekker. Prosedyren består i å polere det berørte området av tannen med roterende instrumenter eller spesielle syrer. Deretter fylles den intervenerte delen av tannen med en fylling som har samme farge som tannen.
3. Fyllinger
En annen måte å fjerne flekker fra tennene er gjennom plassering av fyllinger. Disse brukes til større og dypere flekker.
I dette tilfellet må det berørte vevet fjernes med roterende instrumenter og et hull er igjen. Hullet blir fylt med tannfargede kompositter som er limt sammen med spesielle limsystemer.
Materialet som brukes har en konsistens som ligner på kitt, slik at tannlegen kan støpe det og gi det utseendet han/hun ønsker. Når det er ferdig påføres et spesielt lys som herder materialet og deretter poleres fyllingen for å gi den den endelige finishen.
4. Tannfiner eller -kroner
Disse alternativene vurderes for de mest alvorlige tilfellene, når det er store berørte områder og flekkene ble forårsaket av problemer under utviklingen, for eksempel hypoplasier og fluorose. Finer eller kroner tillater å dekke ufullkommenheter, og gir tennene et naturlig utseende.
Finér kjennetegnes ved å være plassert på den fremre delen av tannen. Tidligere må det lages en liten mengde slitasje på tannen for å gi den støtte. De er laget av kompositt eller porselen og kan oppnå optimal estetikk.
Kroner, derimot, dekker hele tannen, som en hette. Det er også nødvendig å kutte i tannen for å plassere dem, noe som krever mer slitasje.
For å designe dem tas formen, fargen og størrelsen på tannen som skal gjenopprettes i betraktning, slik at de blir personlig tilpasset og gir en passende løsning for hvert enkelt tilfelle.
5. Tannbleking
Bleking er en av de mest effektive måtene å oppnå et hvitere og vakrere smil på. Det er også en god måte å fjerne hvite flekker fra tennene på, spesielt når de er i det ytterste laget av tannen.
Denne tannteknikken søker ikke bare å oppnå mer estetiske resultater, men jevner også ut emaljen, noe som letter rensing av tenner og eliminering av bakterier. For tiden er det flere typer bleking, så det beste alternativet er å konsultere en tannlege for å velge den mest passende.

Forhindrer hvite flekker på tennene
Noen hvite flekker på tennene kan ikke forhindres, men de fleste kan forebygges ved å sette noen av følgende tips ut i livet:
- Tilstrekkelig tannhygiene: Forhindrer oppsamling av bakterielt plakk og forhindrer tap av mineraler fra tennene. Det er viktig å pusse tennene grundig tre ganger om dagen, bruke tanntråd, fluortannkrem og supplere med munnvann. Pasienter med tannregulering bør være spesielt oppmerksomme på grundig munnhygiene og alltid prøve å nå alle områdene i munnhulen.
- Unngå overdreven forbruk av fluor: Å kjenne til fluornivåene i drikkevannet, unngå bruk av kosttilskudd som inneholder mineralet uten medisinsk indikasjon, og bruke riktig mengde tannkrem for hver alder kan bidra til å forhindre fluorose hos barn.
- Sunn mat: Å spise et balansert og næringsrikt kosthold forhindrer mangel på mineraler som kan forårsake avkalking i tennene. Å unngå bearbeidet, sure og høyt sukkerholdige matvarer vil også bidra til å redusere risikoen for å utvikle hvite flekker på tennene.
- Regelmessige tannlegebesøk: Til slutt lar regelmessige tannlegebesøk deg oppdage eventuelle problemer i tide for å behandle dem i tide. Profesjonell rengjøring og råd fra tannlegen hjelper til med å kontrollere bakterielt plakk og holde munnen din sunn.
Ta vare på smilet ditt
Å ha hvite flekker på tennene er ikke bare et oralt helseproblem. Det påvirker også en persons utseende, noe som kan gi problemer med selvtillit og selvbilde.
Heldigvis er det imidlertid mulig å unngå hvite flekker og få vakre tenner med visse teknikker for å ta vare på tennene. Med sunn praksis og regelmessige besøk til tannlegen, vil smiling aldri være et problem for deg!
Hvite flekker på tennene kan oppstå av ulike årsaker og kan være relatert til ulike faktorer. For de som har dem representerer de et estetisk problem. I tillegg kan de også representere en underliggende tilstand.
Faktisk, i noen tilfeller, er de et tegn som indikerer at tannhygienen svikter, at bakteriell plakk samler seg og at tennene mister mineralene sine. Andre ganger kan de imidlertid forårsakes av andre situasjoner, og i denne artikkelen tar vi en titt på dem alle.
Å vite opprinnelsen til hvite flekker på tennene gjør at vi kan bestemme behandlingen som skal utføres. I de fleste tilfeller har de en ganske enkel løsning og personen kan igjen få et vakkert smil. Les videre for å lære mer om hvite flekker på tennene.
Hva er hvite flekker på tennene?
Hvite flekker på tennene blir sett på som en endring i fargen på overflaten av tannemaljen. De er synlige som områder med et hvitt utseende, som står i kontrast til den normale lyse gulaktige eller gråhvite fargen på tannen.
Hvite flekker på tennene er ganske vanlig, og deres forekomst er relatert til flere faktorer. Mangel på tannhygiene er den hyppigste årsaken. Overdrevent inntak av sukkerholdig mat, utbrudd av hull, hypoplasi og fluorose kan være andre årsaker til opprinnelsen.
Disse flekkene kan oppstå hos både barn og voksne og i både midlertidige og permanente tenner. Tilstedeværelsen deres er ikke bare et helseproblem, men også et estetisk problem. Noen ganger forårsaker det usikkerhet og lav selvtillit hos personen som har dem, og denne personen kan prøve å skjule smilet sitt på grunn av måten tennene hans eller hennes ser ut.
Å kunne avklare årsaken til hvite flekker på tennene gjør det mulig å planlegge riktig behandling og iverksette nødvendige tiltak for å unngå forekomsten av nye lesjoner. Det er best å gå til tannlegen når du merker endringer i fargen på tennene dine.
Hvite flekker på tennene og deres forhold til orale sykdommer
Som vi allerede har nevnt, er det forskjellige årsaker til at hvite flekker vises på tennene. Noen er relatert til øyeblikket for dannelsen av tennene og andre til ytre situasjoner som oppstår når orale sykdommer manifesterer seg med disse lesjonene.

1. Dental hypoplasi
Denne tilstanden er forårsaket av mangelfull og utilstrekkelig mineralisering i prosessen med dannelse av det harde vevet i tannen. Det er en forandring som oppstår under utviklingen av tennene – dvs. i mors liv eller i løpet av de første leveårene.
Det er flere årsaker som kan gi opphav til dental hypoplasi:
- Problemer under graviditet: Å lide av visse problemer under graviditeten når babyens fremtidige tenner dannes kan endre mineraliseringen og forårsake hypoplasier. Høy feber, infeksjoner, mors sykdommer, ernæringsmessige mangler eller å ta visse medisiner under svangerskapet gir opphav til denne tilstanden.
- Problemer i tidlig barndom: Å lide av visse tilstander de første leveårene når tennene fortsatt dannes, forårsaker også hypoplasier. Premature fødsler, lav fødselsvekt, infeksjoner, høy feber, systemiske sykdommer, underernæring og vitaminmangel er noen eksempler som kan endre mineraliseringen av tenner.
- Traumer: Når et slag påvirker en melketann, kan det skade kimen til den permanente tannen som dannes inne i beinet gjennom roten. Dette forårsaker hypoplasi i den permanente tannen.
Liker du denne artikkelen? Du kan også like å lese: Hva er svarte flekker på tungen?
2. Hvite flekker på tennene på grunn av fluorose
Dental fluorose er en patologi forårsaket av overdrevent fluoridforbruk i perioden med tanndannelse. Å overskride de anbefalte daglige dosene for dette mineralet når tenner utvikler seg er det som forårsaker problemet.
I noen regioner av verden inneholder drikkevann en høy mengde av dette mineralet, og forbruket av det under utviklingen av tenner kan forårsake fluorose. Bruk av fluortilskudd når det ikke er nødvendig eller inntak av fluor i tannkrem med høye konsentrasjoner kan også være opprinnelsen.
Fluorose viser seg som hvite flekker på overflaten av tennene. Disse hvite flekkene påvirker vanligvis flere tenner som er berørt, og de har en tendens til å ha karakteristiske striper. I mer alvorlige tilfeller er fargen mer brunaktig og ufullkommenheter som ruhet og groper kan også observeres på tannkronene.
3. Hull
En av de hyppigste årsakene til hvite flekker på tennene er hull i tennene. Utbruddet av denne sykdommen manifesteres av en hvit og matt farge.
Denne tilstanden er forårsaket av tap av mineraler fra emaljen på tannkronen. Dette skjer på grunn av virkningen av syrer produsert av bakterier som fermenterer karbohydrater i kosten.
Derfor er denne typen hvite flekk assosiert med dårlig tannhygiene og et kosthold rikt på karbohydrater, spesielt matvarer rike på sukker. Dette favoriserer dannelse og oppsamling av bakterielt plakk som gir opphav til karies.
Generelt går denne tilstanden ofte ubemerket hen av pasientene, så regelmessige tannkontroller er avgjørende. Dette tidlige stadiet av sykdommen er reversibelt, og med bruk av terapeutisk fluor kan tannen gjenopprette helsen.
4. Avkalking av tennene
Det er lokaliserte områder med kalsiumtap og mangel på kalsium som viser seg som hvite flekker på tennene. Disse kan være forårsaket av forskjellige årsaker:
- Dental erosjon: Hyppig utsettelse av overflaten av tennene for påvirkning av syrer, brus, sitronsyre eller eddik påvirker tannemaljen. Å lide av sure oppstøt kan også endre tannoverflaten.
- Svært traumatisk tannhygienepraksis: Å pusse tennene for fort med for mye trykk, bruke for mye kraft eller bruke en veldig hard bustbørste ofte kan slite på tannemaljen.
- Ernæringsmessige mangler: Mangel på tilstrekkelige næringsstoffer og lengre perioder med surhet i munnmiljøet fremmer tap av mineraler fra tennene.
- Munntørrhet: Mangel på spytt fremmer tap av mineraler fra tennene.
5. Hvite flekker forbundet med kjeveortopedisk behandling
Det er en sammenheng mellom kjeveortopedisk behandling med tannregulering og hvite flekker på tennene. Imidlertid er det ikke tannreguleringen som forårsaker disse feilene i tennene, men vanskeligheten med å opprettholde riktig tannhygiene gir ofte opphav til tilstanden
Unnlatelse av å rense alle områder av munnen på riktig måte fører til oppsamling av plakk rundt tannreguleringen og under båndene. Dette resulterer i demineralisering av emaljen som ses som hvite flekker på tennene. Generelt blir disse tydelige når tannreguleringen fjernes og bør behandles på det tidspunktet.
Vi tror du kan være interessert i å lese dette også: Forholdet mellom oral helse og inflammatorisk tarmsykdom
Hvordan fjerne hvite flekker på tennene
Som vi allerede har nevnt, er det først nødvendig å finne årsaken til hvite flekker på tennene for å bestemme hvilken behandling som skal brukes for å reversere dem. Å oppsøke en tannlege lar deg få en nøyaktig diagnose og planlegge behandlingen som er angitt for hvert enkelt tilfelle. Deretter kan de anbefale en av følgende behandlinger.
1. Terapeutisk fluor
Fluor brukes til å behandle hvite flekker forårsaket av avkalkinger og de første stadiene av hull. Ved å påføre elementet lokalt på tennene kan de remineraliseres.
Behandlingen utføres ved at tannlegen på tannlegekontoret legger fluor på tannoverflaten og lar den virke en stund. Det kommer i form av geler, lakk eller skum som inneholder en høy konsentrasjon av mineralet.
Etter påføring av produktet vil tannlegen instruere pasienten om å ikke spise, drikke eller skylle munnen på noen timer. I tillegg vil tannlegen angi hvor ofte prosedyren skal gjentas for å reversere tilstanden.
2. Dental mikroslitasje
Denne behandlingen er nyttig for å behandle overfladiske hvite flekker. Prosedyren består i å polere det berørte området av tannen med roterende instrumenter eller spesielle syrer. Deretter fylles den intervenerte delen av tannen med en fylling som har samme farge som tannen.
3. Fyllinger
En annen måte å fjerne flekker fra tennene er gjennom plassering av fyllinger. Disse brukes til større og dypere flekker.
I dette tilfellet må det berørte vevet fjernes med roterende instrumenter og et hull er igjen. Hullet blir fylt med tannfargede kompositter som er limt sammen med spesielle limsystemer.
Materialet som brukes har en konsistens som ligner på kitt, slik at tannlegen kan støpe det og gi det utseendet han/hun ønsker. Når det er ferdig påføres et spesielt lys som herder materialet og deretter poleres fyllingen for å gi den den endelige finishen.
4. Tannfiner eller -kroner
Disse alternativene vurderes for de mest alvorlige tilfellene, når det er store berørte områder og flekkene ble forårsaket av problemer under utviklingen, for eksempel hypoplasier og fluorose. Finer eller kroner tillater å dekke ufullkommenheter, og gir tennene et naturlig utseende.
Finér kjennetegnes ved å være plassert på den fremre delen av tannen. Tidligere må det lages en liten mengde slitasje på tannen for å gi den støtte. De er laget av kompositt eller porselen og kan oppnå optimal estetikk.
Kroner, derimot, dekker hele tannen, som en hette. Det er også nødvendig å kutte i tannen for å plassere dem, noe som krever mer slitasje.
For å designe dem tas formen, fargen og størrelsen på tannen som skal gjenopprettes i betraktning, slik at de blir personlig tilpasset og gir en passende løsning for hvert enkelt tilfelle.
5. Tannbleking
Bleking er en av de mest effektive måtene å oppnå et hvitere og vakrere smil på. Det er også en god måte å fjerne hvite flekker fra tennene på, spesielt når de er i det ytterste laget av tannen.
Denne tannteknikken søker ikke bare å oppnå mer estetiske resultater, men jevner også ut emaljen, noe som letter rensing av tenner og eliminering av bakterier. For tiden er det flere typer bleking, så det beste alternativet er å konsultere en tannlege for å velge den mest passende.

Forhindrer hvite flekker på tennene
Noen hvite flekker på tennene kan ikke forhindres, men de fleste kan forebygges ved å sette noen av følgende tips ut i livet:
- Tilstrekkelig tannhygiene: Forhindrer oppsamling av bakterielt plakk og forhindrer tap av mineraler fra tennene. Det er viktig å pusse tennene grundig tre ganger om dagen, bruke tanntråd, fluortannkrem og supplere med munnvann. Pasienter med tannregulering bør være spesielt oppmerksomme på grundig munnhygiene og alltid prøve å nå alle områdene i munnhulen.
- Unngå overdreven forbruk av fluor: Å kjenne til fluornivåene i drikkevannet, unngå bruk av kosttilskudd som inneholder mineralet uten medisinsk indikasjon, og bruke riktig mengde tannkrem for hver alder kan bidra til å forhindre fluorose hos barn.
- Sunn mat: Å spise et balansert og næringsrikt kosthold forhindrer mangel på mineraler som kan forårsake avkalking i tennene. Å unngå bearbeidet, sure og høyt sukkerholdige matvarer vil også bidra til å redusere risikoen for å utvikle hvite flekker på tennene.
- Regelmessige tannlegebesøk: Til slutt lar regelmessige tannlegebesøk deg oppdage eventuelle problemer i tide for å behandle dem i tide. Profesjonell rengjøring og råd fra tannlegen hjelper til med å kontrollere bakterielt plakk og holde munnen din sunn.
Ta vare på smilet ditt
Å ha hvite flekker på tennene er ikke bare et oralt helseproblem. Det påvirker også en persons utseende, noe som kan gi problemer med selvtillit og selvbilde.
Heldigvis er det imidlertid mulig å unngå hvite flekker og få vakre tenner med visse teknikker for å ta vare på tennene. Med sunn praksis og regelmessige besøk til tannlegen, vil smiling aldri være et problem for deg!
Alle siterte kilder ble grundig gjennomgått av teamet vårt for å sikre deres kvalitet, pålitelighet, aktualitet og validitet. Bibliografien i denne artikkelen ble betraktet som pålitelig og av akademisk eller vitenskapelig nøyaktighet.
- Quiñones Ybarría, María Elena, et al. “Estado de salud bucal: su relación con el estado nutricional en niños de 2 a 5 años.” Revista Cubana de Estomatología 45.2 (2008): 0-0.
- Giraldo Giraldo, Nubia Amparo, Alejandro Estrada Restrepo, and Andrés Alonso Agudelo Suárez. “Malnutrición y su relación con aspectos de salud en adultos mayores.” (2019).
- Loyola-Rodríguez, J. P., et al. “Incidencia de lesión de mancha blanca en las clínicas de ortodoncia de la Universidad Michoacana en Morelia, Michoacán, México.” Actualidad Médica 803 (2018).
- Da Silva, Claudia Ester, Julieta Galán, and Stella Maris González. “Etiología y diagnóstico diferencial de las lesiones de mancha blanca sobre la superficie adamantina.” III Jornadas de Actualización en Prácticas Odontológicas Integradas SEPOI-PPS (La Plata, 2018). 2018.
- Narváez Santos, María José. Tratamiento de la mancha blanca del esmalte post tratamiento ortodóncico. BS thesis. Universidad de Guayaquil. Facultad Piloto de Odontología, 2021.
- Garófalo León, Mirian Adela. “Prevalencia de mancha blanca en pacientes de 3 a 6 años Clínica Odontológica UCSG B 2017.” (2018).
- Maldonado-Ramírez, M. A., et al. “Remineralización de caries de mancha blanca no cavitada: estudio in vitro.” Oral 20.64 (2019): 1766-1770.
- Carrasco Morales, Maria Belén. Fluorosis dental infantil. BS thesis. Universidad de Guayaquil. Facultad Piloto de Odontología, 2021.
- Lalama Pincay, Martha Elizabeth. Microabrasión adamantina con ácido clorhídrico y ácido fosfórico en tratamiento de fluorosis dental leve. BS thesis. Universidad de Guayaquil. Facultad Piloto de Odontología, 2018.
- Poma Torres, Esthefania Mirella. Manejo y protocolo de atención de la hipoplasia en niños. BS thesis. Universidad de Guayaquil. Facultad Piloto de Odontología, 2021.
- Montero Ronquillo, Mercedes María. Manchas blancas como primera manifestación en la Estructura dental en dentición temporaria. BS thesis. Universidad de Guayaquil. Facultad Piloto de Odontología, 2021.
- Uzuriaga Bonifacio, Jossibel Dunea. “EFECTIVIDAD DEL FLUOR BARNIZ FRENTE AL FLUOR GEL NEUTRO PARA EL TRATAMIENTO DE MANCHAS BLANCAS DENTARIAS EN NIÑOS DE 5 A 6 AÑOS EN EL HOSPITAL II ESSALUD HUÀNUCO 2019.” (2021).
- González, María Alejandra Romero, and Denisse Pilar Carmen Aguilar Gálvez. “Comparación de tres agentes remineralizantes utilizados en lesiones de manchas blancas en premolares medidos con fluorescencia láser: un estudio in vitro.” Revista Científica Odontológica 7.1 (2019): 66-77.
Denne teksten tilbys kun til informasjonsformål og erstatter ikke konsultasjon med en profesjonell. Ved tvil, konsulter din spesialist.







