7 symptomer som tyder på en tanninfeksjon

Tennene dine er i konstant kontakt med matrester, bakterier, spytt og andre typer komponenter. Når som helst, kan de påvirke helsen din eller være en årsak til en tanninfeksjon.
Din praksis av hygiene av kostholdet ditt hjelper deg å holde munnen ren og sunn. Men noen ganger endres miljøet i munnen. Dette fører til infeksjoner som du må være forsiktig med.
Disse kan være milde eller alvorlige. Faktisk, i noen tilfeller, kompromitterer de hele kroppens helse.
Det mest bekymringsfulle er at hvis du ikke tar deg av det i tide, kan dette føre til alvorlig smerte og totalt tap av tennene.
På grunn av dette er det viktigste å vite symptomene på en tanninfeksjon. Fremfor alt, se etter profesjonell hjelp når du identifiserer et problem.
Følg med!
Tegn på en tanninfeksjon
1. Dårlig ånde

Halitose er et av de mest tydelige symptomene på en tanninfeksjon.
Dette skyldes for mye bakterier. Dette gjelder spesielt for områder som tannbørsten din ikke når til og der matrester blir værende.
Dette reguleres vanligvis av produkter for munnhygiene. Det vil imidlertid dukke opp igjen hele tiden til du blir kvitt infeksjonen.
Dets tilstedeværelse kan indikere:
- Gingivitt
- Hull
- Abscesser
- Bakteriell tannstein
- Endringer i spyttet ditt
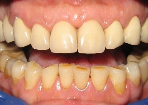
2. Emaljen slites bort
Når du har en tanninfeksjon, produserer bakteriene i munnen en syre. Denne syren sliter bort emaljen som beskytter tennene dine.
- Disse stoffene akkumuleres i et grov teksturert plakk. Dette forårsaker gule flekker på grunn av visse matrester.
- Å ikke kontrollere en tanninfeksjon kan forårsake en alvorlig svekkelse av tannen din. Dette kan gjøre at den mister tetthet og brekker.
Ikke gå glipp av: De 5 beste midlene for å lindre tannkjøttbetennelse
3. Kjeve- og tannsmerter

En følelse av smerte i kjeve og tenner, enten konstant eller periodisk, kan også være et tegn på en infeksjon. Det kan signalere utviklingen av periodontale sykdommer eller en tanninfeksjon.
- Vanligvis har disse å gjøre med en akkumulering av plakk.
- Det kan også ha å gjøre med rester som gjør det lettere for bakterier å vokse.
Dette symptomet bør undersøkes av en tannlege. Dette skyldes at det kan skyldes flere orale sykdommer eller skader.
4. Blødende tannkjøtt
Blødende tannkjøtt oppstår når det er noen form for skade eller infeksjon som påvirker tannkjøttet.
- Det er normalt å legge merke til det en gang iblant når du børster tennene eller bruker tanntråd. Du kan til og med merke dette når du spiser bestemte matvarer. Men hvis du merker det ofte, bør du få det sjekket ut.
- Den viktigste årsaken er giftstoffer som forårsaker plakk på tennene dine.
5. Betennelse og rødhet

Periodontal infeksjon, som inkluderer hull, forårsaker tannkjøttbetennelse og rødhet. Dette kommer nesten alltid med smerte.
- Å ta deg av det raskt er viktig for å forhindre komplikasjoner. Dette skyldes at hevelsen kan spre seg til kjevebenet ditt.
Oppdag: Lær hvordan du behandler halitose på en naturlig måte
6. Løse tenner
Å kjenne at man har løse tenner er en mer enn god nok grunn til å se en tannlege.
- Dette indikerer utviklingen av en tanninfeksjon. Samtidig forteller det deg at beinstrukturen som støtter tennene dine, eroderer.
- Det er normalt at dette skjer når du ikke tar deg av gingivitt i tide. Dette kan da bli til periodontitt.
- Denne sykdommen kan gjøre så tennene i det berørte området vil bevege seg. I alvorlige tilfeller forårsaker det benforringelse.
7. Puss

Opptreden av puss i tannkjøttet ditt er et signal som varsler deg om potensielle periodontale sykdommer.
Dette er en immunsystemrespons på et angrep av patogene bakterier som forårsaker infeksjonen.
- I starten kan de forårsake noen “lommer”. Disse lommene kalles abscesser og de har blod og puss i seg.
- Dette er en kompleks, smittsom prosess og bør behandles av en profesjonell. Dette skyldes at hvis du ikke behandler det i tide, kan det forårsake uopprettelig skade.
- Infeksjonen kan begynne å ødelegge alveolære bein. Dette er beinet som støtter tennene dine.
Viktig!
Enhver mistanke om infeksjon eller sykdom i tennene eller tannkjøttet bør undersøkes av en profesjonell. Disse problemene kan begynne å forårsake problemer raskt.
Infeksjonene i munnen din kan begynne å påvirke andre viktige organer ved hjelp av blodet ditt. Derfor er det viktig å gi dem riktig behandling.
For å redusere risikoen for tanninfeksjon, er det viktig å ha god munnhygiene. Du bør også se tannlegen regelmessig.
Tennene dine er i konstant kontakt med matrester, bakterier, spytt og andre typer komponenter. Når som helst, kan de påvirke helsen din eller være en årsak til en tanninfeksjon.
Din praksis av hygiene av kostholdet ditt hjelper deg å holde munnen ren og sunn. Men noen ganger endres miljøet i munnen. Dette fører til infeksjoner som du må være forsiktig med.
Disse kan være milde eller alvorlige. Faktisk, i noen tilfeller, kompromitterer de hele kroppens helse.
Det mest bekymringsfulle er at hvis du ikke tar deg av det i tide, kan dette føre til alvorlig smerte og totalt tap av tennene.
På grunn av dette er det viktigste å vite symptomene på en tanninfeksjon. Fremfor alt, se etter profesjonell hjelp når du identifiserer et problem.
Følg med!
Tegn på en tanninfeksjon
1. Dårlig ånde

Halitose er et av de mest tydelige symptomene på en tanninfeksjon.
Dette skyldes for mye bakterier. Dette gjelder spesielt for områder som tannbørsten din ikke når til og der matrester blir værende.
Dette reguleres vanligvis av produkter for munnhygiene. Det vil imidlertid dukke opp igjen hele tiden til du blir kvitt infeksjonen.
Dets tilstedeværelse kan indikere:
- Gingivitt
- Hull
- Abscesser
- Bakteriell tannstein
- Endringer i spyttet ditt
2. Emaljen slites bort
Når du har en tanninfeksjon, produserer bakteriene i munnen en syre. Denne syren sliter bort emaljen som beskytter tennene dine.
- Disse stoffene akkumuleres i et grov teksturert plakk. Dette forårsaker gule flekker på grunn av visse matrester.
- Å ikke kontrollere en tanninfeksjon kan forårsake en alvorlig svekkelse av tannen din. Dette kan gjøre at den mister tetthet og brekker.
Ikke gå glipp av: De 5 beste midlene for å lindre tannkjøttbetennelse
3. Kjeve- og tannsmerter

En følelse av smerte i kjeve og tenner, enten konstant eller periodisk, kan også være et tegn på en infeksjon. Det kan signalere utviklingen av periodontale sykdommer eller en tanninfeksjon.
- Vanligvis har disse å gjøre med en akkumulering av plakk.
- Det kan også ha å gjøre med rester som gjør det lettere for bakterier å vokse.
Dette symptomet bør undersøkes av en tannlege. Dette skyldes at det kan skyldes flere orale sykdommer eller skader.
4. Blødende tannkjøtt
Blødende tannkjøtt oppstår når det er noen form for skade eller infeksjon som påvirker tannkjøttet.
- Det er normalt å legge merke til det en gang iblant når du børster tennene eller bruker tanntråd. Du kan til og med merke dette når du spiser bestemte matvarer. Men hvis du merker det ofte, bør du få det sjekket ut.
- Den viktigste årsaken er giftstoffer som forårsaker plakk på tennene dine.
5. Betennelse og rødhet

Periodontal infeksjon, som inkluderer hull, forårsaker tannkjøttbetennelse og rødhet. Dette kommer nesten alltid med smerte.
- Å ta deg av det raskt er viktig for å forhindre komplikasjoner. Dette skyldes at hevelsen kan spre seg til kjevebenet ditt.
Oppdag: Lær hvordan du behandler halitose på en naturlig måte
6. Løse tenner
Å kjenne at man har løse tenner er en mer enn god nok grunn til å se en tannlege.
- Dette indikerer utviklingen av en tanninfeksjon. Samtidig forteller det deg at beinstrukturen som støtter tennene dine, eroderer.
- Det er normalt at dette skjer når du ikke tar deg av gingivitt i tide. Dette kan da bli til periodontitt.
- Denne sykdommen kan gjøre så tennene i det berørte området vil bevege seg. I alvorlige tilfeller forårsaker det benforringelse.
7. Puss

Opptreden av puss i tannkjøttet ditt er et signal som varsler deg om potensielle periodontale sykdommer.
Dette er en immunsystemrespons på et angrep av patogene bakterier som forårsaker infeksjonen.
- I starten kan de forårsake noen “lommer”. Disse lommene kalles abscesser og de har blod og puss i seg.
- Dette er en kompleks, smittsom prosess og bør behandles av en profesjonell. Dette skyldes at hvis du ikke behandler det i tide, kan det forårsake uopprettelig skade.
- Infeksjonen kan begynne å ødelegge alveolære bein. Dette er beinet som støtter tennene dine.
Viktig!
Enhver mistanke om infeksjon eller sykdom i tennene eller tannkjøttet bør undersøkes av en profesjonell. Disse problemene kan begynne å forårsake problemer raskt.
Infeksjonene i munnen din kan begynne å påvirke andre viktige organer ved hjelp av blodet ditt. Derfor er det viktig å gi dem riktig behandling.
For å redusere risikoen for tanninfeksjon, er det viktig å ha god munnhygiene. Du bør også se tannlegen regelmessig.
Alle siterte kilder ble grundig gjennomgått av teamet vårt for å sikre deres kvalitet, pålitelighet, aktualitet og validitet. Bibliografien i denne artikkelen ble betraktet som pålitelig og av akademisk eller vitenskapelig nøyaktighet.
- Manriv, N. (2010). La enfermedad periodontal, Enfermedad de las encías. National Institute of Dental and Craniofacial Research 14.
- Herrera González, D., Roldán Díaz, S., and Sanz Alonso, M. (2003). El absceso periodontal. Periodoncia 13, 7–20.
- Aylıkcı BU, Colak H. Halitosis: From diagnosis to management. J Nat Sci Biol Med. 2013;4(1):14–23. doi:10.4103/0976-9668.107255
- Erazo D, Whetstone DR. Dental Infections. [Updated 2019 Nov 11]. In: StatPearls [Internet]. Treasure Island (FL): StatPearls Publishing; 2019 Jan-. Available from: https://www.ncbi.nlm.nih.gov/books/NBK542165/
- Riverón, J., Rodríguez, A., Coutin, G., and Riveron, F. (2003). Factores de riesgo asociados con la enfermedad caries dental en niños.
- Alvares, O. F. (2018). Periodontal diseases. In Nutritional Aspects of Aging: Volume 2. https://doi.org/10.1201/9781351075145
-
InformedHealth.org [Internet]. Cologne, Germany: Institute for Quality and Efficiency in Health Care (IQWiG); 2006-. Gingivitis and periodontitis: Overview. 2011 Oct 5 [Updated 2014 Jun 18]. Available from: https://www.ncbi.nlm.nih.gov/books/NBK279593/
Denne teksten tilbys kun til informasjonsformål og erstatter ikke konsultasjon med en profesjonell. Ved tvil, konsulter din spesialist.







