Hva er barodontalgi og hvordan kan du forhindre det?


Skrevet og verifisert av tannlegen Vanesa Evangelina Buffa
Svømmer du ofte og oppdager at tennene dine gjør vondt etter dykking? I så fall kan det hende du lider av barodontalgi.
Denne lite kjente tilstanden kan virkelig påvirke livskvaliteten til visse mennesker som er aktive i høyden eller i dypt vann. Fjellklatrere, dykkere, piloter eller ansatte som må reise konstant med fly er også alle utsatt for barodontalgi.
Det er ikke bare yrket eller idrettsaktiviteten som kan være ansvarlig. En primær risikofaktor er dårlig munnhygiene eller forsømmelse av eksisterende problemer, for eksempel hull. Sistnevnte, uten en skikkelig tilnærming, øker sjansene for å ha smerter når atmosfærisk trykk endres.
Med tanke på at ingen ønsker å få ubehag i fjellet, om bord på et fly eller nedsenket i havet, forteller vi deg hvorfor barodontalgi oppstår og hva du kan gjøre for å forhindre det. Ikke gå glipp av det.
Hva er barodontalgi?
Begrepet barodontalgi er satt sammen av to deler. Den første er baro, som betyr “press”. På en annen side betyr odontalgi “tannpine”.
På denne måten forstår vi at konseptet refererer til smerte i tennene forårsaket av endringen i atmosfærisk trykk som en person utsettes for. Denne trykkendringen kan være forårsaket av en stigning til store høyder eller av en nedstigning til betydelige dyp under vann og deretter en retur til overflaten.
Uttrykket tannklemming brukes for å beskrive fenomenet og pasientenes opplevelser. Det kan oversettes med ”tooth squeeze” på engelsk, fordi sammen med smerten er det en oppfatning om at selve tannelementet utøver trykk utenfor seg selv.
Vi tror du også kan like å lese denne artikkelen: Hva vil det si å drømme om at tennene dine faller ut?
Hvem kan lide av barodontalgi?
Barodontalgi kan dukke opp i alle aldre og påvirke enhver person. Uansett må kravet om å gå gjennom en endring i atmosfærisk trykk, oppfylles. Det vil si, hvis det er smerte i en tann uten å være i stor høyde eller uten å være nedsenket,er det ikke snakk om denne lidelsen.
Slik sett er det befolkningsgrupper som er mer utsatt på grunn av sitt arbeid eller fritidsaktiviteter. Blant dem kan vi nevne følgende:
- Fjellklatrere og turgåere
- Flypiloter, flyvertinner og flybesetninger.
- Soldater og militært personell som utfører luftfarts- eller dykkeroppgaver.
- Profesjonelle eller sportsdykkere.
- Mennesker med arbeid som krever at de reiser ofte i fly for å utføre oppgaver på forskjellige destinasjoner.
Sm vi nevnte innledningsvis, er det innenfor disse mer utsatte gruppene risikofaktorer som øker muligheten for å lide av barodontalgi. Det vil si at ikke alle som setter seg på et fly vil få vondt i tennene.
De som har noen av følgende tilstander er mer sannsynlig til å bli berørt:
- Gingivitt eller tannkjøttbetennelse.
- Tannfyllinger eller reparasjoner.
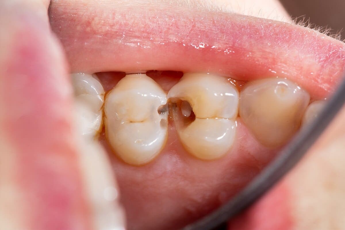
- Hull i tennene.
Denne større følsomheten forklares av eksponeringen av tannmassen hos disse pasientene. Det er i dette vevet tannnerven kan bli funnet, som til syvende og sist er ansvarlig for å registrere endringen i atmosfærisk trykk og reagere med smerte når den står ovenfor det.

Smertemekanismen reagerer på fysikk
For å forstå hvorfor det oppstår tannsmerter når vi står ovenfor en endring i atmosfærisk trykk, må vi referere til et fysikkprinsipp som er Boyle-Mariotte-loven. Den sier at volumet av en gass fanget i en lukket beholder, ved en konstant temperatur, endres i henhold til variasjonene i trykket den mottar.
Denne endringen er omvendt. Hvis det omgivende trykket øker, avtar den innelukkede gassen i volum. Tvert imot, hvis trykket synker, øker gassen volumet.
Ved barodontalgi, gjelder dette gassen inne i tannelementene (spesielt hvis det er hull). Ved oppstigning i høyde over havet synker atmosfærisk trykk; dette får gassen i en tann til å utvide seg, øke volumet og presse utover.
Ved dykking skjer det samme når man stiger tilbake til overflaten. Dykkeren blir utsatt for mer atmosfærisk trykk når han går ned, men når han stiger opp av vannet begynner den motsatte prosessen, som vil tilsvare å bestige et fjell.
Nå, hvorfor blir gass fanget inne i tannen? Rutene som luft når det indre av massekammeret ved, er varierte. Selv om årsaken kanskje ikke er bestemt, er det mest sannsynlig at en eller annen faktor har spilt en rolle i å få gassen til å komme i kontakt med tannnerven.
Hvis det har vært et dødsfall i en del av massevevet, kan gassen finne et sted å okkupere. På samme måte vil bli vanskelig å komme ut gjennom blodet fordi vaskulariseringen er dårlig, på grunn av nekrose av området.
I tilfelle med å ha fått et brudd i en tann, fungerer sprekken som en kanal for gassen til å bevege seg innover og finne det vanskelig å komme ut. Det er som om det var en ensrettet vei for luften å komme inn, men ikke forlate. Den samme forklaringen gjelder for en feiltilpasset fylling eller en som gir lekkasjerom.
Igjen understreker vi at barodontalgi med en tidligere tanntilstand er en risikofaktor. Deretter, det endringen i atmosfærisk trykk gjør, er å stimulere den fangede gassen til å modifisere volumet. Det er da smerten oppstår.
Det er derfor det er forstått at denne prosessen er et symptom, men ikke en sykdom i seg selv. Hvis smerten oppstår på grunn av en endring i trykk, bør en tannlege konsulteres for å finne ut hvilken underliggende klinisk tilstand som har skylden.
Symptomer på barodontalgi
Selvfølgelig er kardinalsymptomet på barodontalgi, tannpine eller følelsen av å klemming fra tannen når det atmosfæriske trykket endres. Det er assosierte tegn som kan tyde på den underliggende tilstanden.
For eksempel er de mest akutte og intense smertene forbundet med karies. På en annen side, når små blødninger dukker opp rundt den berørte tannen, er de vanligvis et resultat av nylig oral kirurgi.
Det er sjeldent at gassen forårsaker tannbrudd når den utvider seg. Imidlertid kan det komplisere eller forverre en klinisk tilstand som allerede er tilstede hos pasienten på forhånd.
Det er en klassifisering for barodontalgi som vurderer symptomene og mulig underliggende tilstand. Det er som følger:
- Klasse 1: Smerte oppstår plutselig ved oppstigning, men pasienten føler ingenting når han går ned. Dette er mest sannsynlig akutt eller irreversibel pulpitt.
- Klasse 2: Bankende og svak smerte ved oppstigning, som vises progressivt, men uten symptomer ved nedstigning. Det kan være en kronisk pulpitt.
- Klasse 3: Forekomsten av den samme smerten som i klasse 2, men som oppstår når personen går ned og ikke når den stiger, tyder på nekrotisk pulpitt.
- Klasse 4: Til slutt, intens smerte, både ved opp- og nedstigning, fører til mistanke om apikal periodontitt.
Liker du denne artikkelen? Du kan også like å lese: 9 naturlige og effektive tips for å ta vare på tennene dine
Hvordan forhindre det
Å forhindre barodontalgi er relativt enkelt. Det er nødvendig å ta noen forholdsregler når vi vet at vi vil komme i situasjoner med endringer i atmosfærisk trykk. Spesielt de pasientene med karies, pulpitt, tannbrudd eller som nylig har fått oral kirurgi bør ta ekstreme tiltak.
Derfor er det logisk å understreke at hovedforebyggingen ligger i god munnhygiene. Så lenge faktorene som påvirker produksjonen av sykdommer i munnen reduseres, vil det bli mindre risiko for trykksmerter.
Det vil også være nødvendig med regelmessige kontroller hos en betrodd tannlege. Hvis vi har fått en oral operasjon, en tanntrekking eller et tannarbeid utført og vi må sette oss på et fly, kan vi spørre fagpersonen om sikkerheten ved å ta flyet.
Tilsvarende, hvis vi ofte utøver sportsaktiviteter som fjellklatring eller dykking, vil vi også måtte få autorisasjon fra tannlegen og medisinsk godkjenning for å gjenoppta disse disiplinene. Tannlegekontoret vil kunne gi deg en foreløpig dato for å komme tilbake til praksis etter operasjonen.
For dykkere som går på dykkerskoler, er det viktig at instruktørene er klar over deres munnhelse. De vil også kunne anbefale eller ikke dykke i henhold til deres erfaring med emnet.
Utjevningstrykk
Det er to naturlige og enkle metoder som kan bidra til å utjevne trykket litt mellom utsiden og innsiden av kroppen når vi endrer høyde. De vil ikke alltid forhindre barodontalgi, og er kanskje ikke til stor nytte hvis det er alvorlige sykdommer i tennene, men i milde tilfeller utgjør de en forskjell.
Et alternativ er å tygge tyggegummi. Tyggehandlingen mobiliserer luften inne i munnen og forårsaker endringer i øretrompeten, som er en anatomisk struktur som forbinder svelget med ørene. På denne måten har det indre og ytre trykket en tendens til å utjevnes.
Valsalva-manøveren forfølger samme mål. Den består i å prøve å puste ut luft med nese og munn blokkert. Det mest praktiske er å lukke munnen, dekke nesen med hendene og tvinge ut luften som holdes tilbake mot hindringen som vi forårsaker med vilje.

Tannlegens rolle i forebygging av barodontalgi
Forebygging av barodontalgi avhenger også av tannlegen. Siden smerte ofte oppstår i eksisterende orale sykdommer eller på grunn av luft som lekker inn i tidligere opererte tenner, bør det erkjennes at dårlige fyllinger eller feil tilnærminger på tannlegekontoret kan være risikofaktorer for pasienter.
Tannleger bør være klar over at noen materialer som brukes i klinisk praksis er mer effektive for å forebygge periodontalgi. Dette er tilfellet for harpiks kontra sinkfosfat og kontra glassionomerer. Dette stoffet tåler bedre endringer i atmosfærisk trykk, så det vil være førstevalget for behandling hos for eksempel flypiloter eller dykkere.
På sin side, hvis utøveren vet at hans eller hennes pasient har hyppige aktiviteter i store høyder eller praktiserer dykking, bør de ta initiativ til å redusere risikofaktorer. Dette innebærer å sjekke gamle arrangementer og ikke la tegn på forfall utvikle seg ubehandlet.
Barodontalgi er et tegn på noe annet
Det er viktig å være klar over at barodontalgi indikerer en tilstand i munnen. Så hvis du lider av det ofte eller det har skjedd deg i det siste, er det viktig å konsultere en tannlege.
Det er sannsynligvis hull, pulpitt eller tannbrudd som må behandles umiddelbart. Dette vil forhindre nye episoder med trykksmerter, men vil også begrense komplikasjonene til den aktuelle sykdommen.
Kort sagt, munnhelse og tannhygiene er grunnsøylene for forebygging av barodontalgi. Hvis du liker fjellklatring eller dykking, eller hvis du må tilbringe mye tid i fly av jobbmessige årsaker, så sørg for at du pusser tennene og besøker tannlegen regelmessig.
Svømmer du ofte og oppdager at tennene dine gjør vondt etter dykking? I så fall kan det hende du lider av barodontalgi.
Denne lite kjente tilstanden kan virkelig påvirke livskvaliteten til visse mennesker som er aktive i høyden eller i dypt vann. Fjellklatrere, dykkere, piloter eller ansatte som må reise konstant med fly er også alle utsatt for barodontalgi.
Det er ikke bare yrket eller idrettsaktiviteten som kan være ansvarlig. En primær risikofaktor er dårlig munnhygiene eller forsømmelse av eksisterende problemer, for eksempel hull. Sistnevnte, uten en skikkelig tilnærming, øker sjansene for å ha smerter når atmosfærisk trykk endres.
Med tanke på at ingen ønsker å få ubehag i fjellet, om bord på et fly eller nedsenket i havet, forteller vi deg hvorfor barodontalgi oppstår og hva du kan gjøre for å forhindre det. Ikke gå glipp av det.
Hva er barodontalgi?
Begrepet barodontalgi er satt sammen av to deler. Den første er baro, som betyr “press”. På en annen side betyr odontalgi “tannpine”.
På denne måten forstår vi at konseptet refererer til smerte i tennene forårsaket av endringen i atmosfærisk trykk som en person utsettes for. Denne trykkendringen kan være forårsaket av en stigning til store høyder eller av en nedstigning til betydelige dyp under vann og deretter en retur til overflaten.
Uttrykket tannklemming brukes for å beskrive fenomenet og pasientenes opplevelser. Det kan oversettes med ”tooth squeeze” på engelsk, fordi sammen med smerten er det en oppfatning om at selve tannelementet utøver trykk utenfor seg selv.
Vi tror du også kan like å lese denne artikkelen: Hva vil det si å drømme om at tennene dine faller ut?
Hvem kan lide av barodontalgi?
Barodontalgi kan dukke opp i alle aldre og påvirke enhver person. Uansett må kravet om å gå gjennom en endring i atmosfærisk trykk, oppfylles. Det vil si, hvis det er smerte i en tann uten å være i stor høyde eller uten å være nedsenket,er det ikke snakk om denne lidelsen.
Slik sett er det befolkningsgrupper som er mer utsatt på grunn av sitt arbeid eller fritidsaktiviteter. Blant dem kan vi nevne følgende:
- Fjellklatrere og turgåere
- Flypiloter, flyvertinner og flybesetninger.
- Soldater og militært personell som utfører luftfarts- eller dykkeroppgaver.
- Profesjonelle eller sportsdykkere.
- Mennesker med arbeid som krever at de reiser ofte i fly for å utføre oppgaver på forskjellige destinasjoner.
Sm vi nevnte innledningsvis, er det innenfor disse mer utsatte gruppene risikofaktorer som øker muligheten for å lide av barodontalgi. Det vil si at ikke alle som setter seg på et fly vil få vondt i tennene.
De som har noen av følgende tilstander er mer sannsynlig til å bli berørt:
- Gingivitt eller tannkjøttbetennelse.
- Tannfyllinger eller reparasjoner.
- Hull i tennene.
Denne større følsomheten forklares av eksponeringen av tannmassen hos disse pasientene. Det er i dette vevet tannnerven kan bli funnet, som til syvende og sist er ansvarlig for å registrere endringen i atmosfærisk trykk og reagere med smerte når den står ovenfor det.

Smertemekanismen reagerer på fysikk
For å forstå hvorfor det oppstår tannsmerter når vi står ovenfor en endring i atmosfærisk trykk, må vi referere til et fysikkprinsipp som er Boyle-Mariotte-loven. Den sier at volumet av en gass fanget i en lukket beholder, ved en konstant temperatur, endres i henhold til variasjonene i trykket den mottar.
Denne endringen er omvendt. Hvis det omgivende trykket øker, avtar den innelukkede gassen i volum. Tvert imot, hvis trykket synker, øker gassen volumet.
Ved barodontalgi, gjelder dette gassen inne i tannelementene (spesielt hvis det er hull). Ved oppstigning i høyde over havet synker atmosfærisk trykk; dette får gassen i en tann til å utvide seg, øke volumet og presse utover.
Ved dykking skjer det samme når man stiger tilbake til overflaten. Dykkeren blir utsatt for mer atmosfærisk trykk når han går ned, men når han stiger opp av vannet begynner den motsatte prosessen, som vil tilsvare å bestige et fjell.
Nå, hvorfor blir gass fanget inne i tannen? Rutene som luft når det indre av massekammeret ved, er varierte. Selv om årsaken kanskje ikke er bestemt, er det mest sannsynlig at en eller annen faktor har spilt en rolle i å få gassen til å komme i kontakt med tannnerven.
Hvis det har vært et dødsfall i en del av massevevet, kan gassen finne et sted å okkupere. På samme måte vil bli vanskelig å komme ut gjennom blodet fordi vaskulariseringen er dårlig, på grunn av nekrose av området.
I tilfelle med å ha fått et brudd i en tann, fungerer sprekken som en kanal for gassen til å bevege seg innover og finne det vanskelig å komme ut. Det er som om det var en ensrettet vei for luften å komme inn, men ikke forlate. Den samme forklaringen gjelder for en feiltilpasset fylling eller en som gir lekkasjerom.
Igjen understreker vi at barodontalgi med en tidligere tanntilstand er en risikofaktor. Deretter, det endringen i atmosfærisk trykk gjør, er å stimulere den fangede gassen til å modifisere volumet. Det er da smerten oppstår.
Det er derfor det er forstått at denne prosessen er et symptom, men ikke en sykdom i seg selv. Hvis smerten oppstår på grunn av en endring i trykk, bør en tannlege konsulteres for å finne ut hvilken underliggende klinisk tilstand som har skylden.
Symptomer på barodontalgi
Selvfølgelig er kardinalsymptomet på barodontalgi, tannpine eller følelsen av å klemming fra tannen når det atmosfæriske trykket endres. Det er assosierte tegn som kan tyde på den underliggende tilstanden.
For eksempel er de mest akutte og intense smertene forbundet med karies. På en annen side, når små blødninger dukker opp rundt den berørte tannen, er de vanligvis et resultat av nylig oral kirurgi.
Det er sjeldent at gassen forårsaker tannbrudd når den utvider seg. Imidlertid kan det komplisere eller forverre en klinisk tilstand som allerede er tilstede hos pasienten på forhånd.
Det er en klassifisering for barodontalgi som vurderer symptomene og mulig underliggende tilstand. Det er som følger:
- Klasse 1: Smerte oppstår plutselig ved oppstigning, men pasienten føler ingenting når han går ned. Dette er mest sannsynlig akutt eller irreversibel pulpitt.
- Klasse 2: Bankende og svak smerte ved oppstigning, som vises progressivt, men uten symptomer ved nedstigning. Det kan være en kronisk pulpitt.
- Klasse 3: Forekomsten av den samme smerten som i klasse 2, men som oppstår når personen går ned og ikke når den stiger, tyder på nekrotisk pulpitt.
- Klasse 4: Til slutt, intens smerte, både ved opp- og nedstigning, fører til mistanke om apikal periodontitt.
Liker du denne artikkelen? Du kan også like å lese: 9 naturlige og effektive tips for å ta vare på tennene dine
Hvordan forhindre det
Å forhindre barodontalgi er relativt enkelt. Det er nødvendig å ta noen forholdsregler når vi vet at vi vil komme i situasjoner med endringer i atmosfærisk trykk. Spesielt de pasientene med karies, pulpitt, tannbrudd eller som nylig har fått oral kirurgi bør ta ekstreme tiltak.
Derfor er det logisk å understreke at hovedforebyggingen ligger i god munnhygiene. Så lenge faktorene som påvirker produksjonen av sykdommer i munnen reduseres, vil det bli mindre risiko for trykksmerter.
Det vil også være nødvendig med regelmessige kontroller hos en betrodd tannlege. Hvis vi har fått en oral operasjon, en tanntrekking eller et tannarbeid utført og vi må sette oss på et fly, kan vi spørre fagpersonen om sikkerheten ved å ta flyet.
Tilsvarende, hvis vi ofte utøver sportsaktiviteter som fjellklatring eller dykking, vil vi også måtte få autorisasjon fra tannlegen og medisinsk godkjenning for å gjenoppta disse disiplinene. Tannlegekontoret vil kunne gi deg en foreløpig dato for å komme tilbake til praksis etter operasjonen.
For dykkere som går på dykkerskoler, er det viktig at instruktørene er klar over deres munnhelse. De vil også kunne anbefale eller ikke dykke i henhold til deres erfaring med emnet.
Utjevningstrykk
Det er to naturlige og enkle metoder som kan bidra til å utjevne trykket litt mellom utsiden og innsiden av kroppen når vi endrer høyde. De vil ikke alltid forhindre barodontalgi, og er kanskje ikke til stor nytte hvis det er alvorlige sykdommer i tennene, men i milde tilfeller utgjør de en forskjell.
Et alternativ er å tygge tyggegummi. Tyggehandlingen mobiliserer luften inne i munnen og forårsaker endringer i øretrompeten, som er en anatomisk struktur som forbinder svelget med ørene. På denne måten har det indre og ytre trykket en tendens til å utjevnes.
Valsalva-manøveren forfølger samme mål. Den består i å prøve å puste ut luft med nese og munn blokkert. Det mest praktiske er å lukke munnen, dekke nesen med hendene og tvinge ut luften som holdes tilbake mot hindringen som vi forårsaker med vilje.

Tannlegens rolle i forebygging av barodontalgi
Forebygging av barodontalgi avhenger også av tannlegen. Siden smerte ofte oppstår i eksisterende orale sykdommer eller på grunn av luft som lekker inn i tidligere opererte tenner, bør det erkjennes at dårlige fyllinger eller feil tilnærminger på tannlegekontoret kan være risikofaktorer for pasienter.
Tannleger bør være klar over at noen materialer som brukes i klinisk praksis er mer effektive for å forebygge periodontalgi. Dette er tilfellet for harpiks kontra sinkfosfat og kontra glassionomerer. Dette stoffet tåler bedre endringer i atmosfærisk trykk, så det vil være førstevalget for behandling hos for eksempel flypiloter eller dykkere.
På sin side, hvis utøveren vet at hans eller hennes pasient har hyppige aktiviteter i store høyder eller praktiserer dykking, bør de ta initiativ til å redusere risikofaktorer. Dette innebærer å sjekke gamle arrangementer og ikke la tegn på forfall utvikle seg ubehandlet.
Barodontalgi er et tegn på noe annet
Det er viktig å være klar over at barodontalgi indikerer en tilstand i munnen. Så hvis du lider av det ofte eller det har skjedd deg i det siste, er det viktig å konsultere en tannlege.
Det er sannsynligvis hull, pulpitt eller tannbrudd som må behandles umiddelbart. Dette vil forhindre nye episoder med trykksmerter, men vil også begrense komplikasjonene til den aktuelle sykdommen.
Kort sagt, munnhelse og tannhygiene er grunnsøylene for forebygging av barodontalgi. Hvis du liker fjellklatring eller dykking, eller hvis du må tilbringe mye tid i fly av jobbmessige årsaker, så sørg for at du pusser tennene og besøker tannlegen regelmessig.
Alle siterte kilder ble grundig gjennomgått av teamet vårt for å sikre deres kvalitet, pålitelighet, aktualitet og validitet. Bibliografien i denne artikkelen ble betraktet som pålitelig og av akademisk eller vitenskapelig nøyaktighet.
- Zadik, Y. Aviation dentistry: current concepts and practice. Br Dent J 206, 11–16 (2009). https://doi.org/10.1038/sj.bdj.2008.1121
- Robichaud, Roland, and Mary E. McNally. “Barodontalgia as a differential diagnosis: symptoms and findings.” J Can Dent Assoc 71.1 (2005): 39-42.
- Saboowala, Hakim, ed. “What is Barodontalgia/Aerodontalgia? A Concise Review.” (2020).
- SohaibArshad, Soha Shawqi Albayat, et al. “Flyers Tooth Squeeze-Current Concepts and Future Needs-A Review.” (2021).
- Gaur, Tarun K., and Tarun V. Shrivastava. “Barodontalgia: a clinical entity.” J Oral Health Comm Dent 6.1 (2012): 18-20.
- Stoetzer, Marcus, et al. “Pathophysiology of barodontalgia: a case report and review of the literature.” Case reports in dentistry 2012 (2012).
- Zadik, Yehuda. “Barodontalgia.” Journal of endodontics 35.4 (2009): 481-485.
- González Santiago, María del Mar, Angel Martinez-Sahuquillo Marquez, and Pedro Bullón Fernández. “Prevalencia de las barodontalgias y su relación con el estado bucodental en el personal con responsabilidad en vuelo militar.” Medicina Oral, Patología Oral y Cirugía Bucal (Ed. impresa) 9.2 (2004): 92-105.
- Isis, Rojas Herrera, and Menendez LLera Dianela. “Barodontalgia: Manejo actualizado en la atención primaria de salud.” Congreso Internacional de Estomatología 2015. 2015.
Denne teksten tilbys kun til informasjonsformål og erstatter ikke konsultasjon med en profesjonell. Ved tvil, konsulter din spesialist.







