Hvordan fjerne tannstein fra tennene dine naturlig

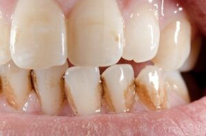
Tannstein er herding av plakk på grunn av mineralforekomster.
Dette fører vanligvis til at tennene ser lite attraktive ut, med gulaktig eller brunaktig misfarging. Ved grensen mellom tannkjøttet og tennene kan tannstein være enda mørkere i fargen. Som et resultat ser det ofte ut som en slags skorpe over området.
Hva bør du vite om tannstein?

Tannstein er rug å ta på. Bortsett fra å være et estetisk problem, kan det også føre til andre helseproblemer. Når tannstein interagerer med visse matvarer (som søtsaker, cola og stekt mat), frigjør den en syre som kan forårsake hull.
På den annen side kan visse vaner som røyking, alkoholisme og overdreven kaffeforbruk fremme forekomsten av tannstein. Det kan også være en genetisk disposisjon for produksjon av tannstein.
Du kan finne dette interessant: Peeling for strekkmerker med kaffe og kokosnøttolje
Hjemmemidler for tannstein
Det beste middelet mot tannstein er forebygging, og riktige tannhygienevaner bidrar til å forhindre produksjonen av denne plakken. Spesialister anbefaler å pusse tennene etter hvert måltid eller minst to ganger om dagen. Bruk av tanntråd eller bruk av interdentalbørster minst en gang om dagen bidrar også til å forhindre produksjon av tannstein.
I tillegg til å opprettholde gode tannhygienevaner, er det viktig å besøke tannlegen med jevne mellomrom for en grundig rengjøring. Du kan imidlertid også dra nytte av fordelene med spesifikke hjemmemidler for å forhindre overflødig tannstein på tennene.
Natron for å fjerne tannstein

Mange bruker natron blandet med sitron eller salt for å styrke tannhygienen og holde fargen på tennene klar, gitt egenskapene til disse ingrediensene. Det anbefales også å blande det med litt vann, da smaken kan være litt intens.
Vær imidlertid forsiktig med bruken, fordi den kan skade emaljen på tennene dine.
Ingredienser
- En spiseskje natron (10 g)
- En teskje salt (5 g)
- Vann (så mye som nødvendig)
Forberedelse
- I en bolle blander du natron og salt.
- Dypp deretter tannbørsten i varmt vann.
- Dypp deretter tannbørsten i natron- og saltblandingen for å bløtlegge den.
- Børst som vanlig, men prøv å fokusere på de områdene der tannstein har en tendens til å bygge seg opp mest.
- Gjenta minst to ganger om dagen (morgen og kveld) for å få resultater.
Sitron for å fjerne tannstein naturlig
Dette er en annen av de beste, naturlige blekemidlene for tenner. Dessuten har denne sitrusfrukten antibakterielle egenskaper som kommer godt med når man bekjemper tannstein.
Etter å ha brukt den, skyll munnen godt slik at den ikke produserer flekker på huden rundt munnen neste dag når den er i kontakt med solen.
Syren i sitronen kan skade eller svekke tennene, så du bør bruke denne oppskriften en gang i uken maks.
Ingredienser
- Saft av ½ sitron
- ½ kopp varmt vann (125 ml)
Forberedelse
- Fyll en halv kopp med varmt vann. Tilsett sitronsaft.
- Ha deretter vannet og juicen i et glass eller en kopp og rør.
- Skyll det rundt i munnen før du legger deg.
- Skyll til slutt med litt varmt vann, så får du ikke en sur smak.
Hydrogenperoksid
Denne husholdningartikkelen kan også brukes til å bleke tenner og fjerne tannstein. Du kan bruke dette hjemmemiddelet opptil tre ganger i uken, alltid som en skylling etter rutinemessig børsting.
Ingredienser
- ¼ kopp varmt vann (rundt 60 ml)
- To spiseskjeer hydrogenperoksid (20 ml)
Forberedelse
- Ha varmt vann i et glass og tilsett hydrogenperoksid. Rør om for å blande.
- Ta deretter litt av vannet og svisj det rundt i munnen i minst 1 minutt.
- Spytt ut blandingen og gjenta i et minutt til.
- Skyll med kaldt vann.
Les: Næringsstoffer og øvelser for å opprettholde en sunn, ren og sterk lever
sesamfrø

Disse frøene er ideelle for å fjerne oppsamlet smuss fra tennene.
- Du trenger bare å ta en skje av dem og tygge dem sakte i et minutt eller to.
- Deretter spytter du dem ut og masserer tennene ved hjelp av en tidligere fuktet tannbørste.
- Skyll til slutt med vann.
Persille for å fjerne tannstein fra tennene

Denne aromatiske urten som brukes i mange oppskrifter for smakstilsetning, kan også bidra til å bekjempe oppbygging av tannstein i tannkjøttet. Et av de enkleste midlene er som følger:
Ingredienser
- En håndfull bladpersille (20 g)
- En spiseskje vann (10 ml)
Forberedelse
- Vask og finhakk bladpersille.
- Bland deretter med vann for å danne en krem.
- Sett blandingen på tennene og la den virke i ca 5 minutter.
- Skyll med mye varmt vann.
Frukt for å fjerne tannstein fra tennene

Tro det eller ei, visse frukter kan bleke tennene våre og fjerne langvarig tannstein. For at denne metoden skal fungere, bør du spise dem rå og bite dem (ikke skjære dem med en kniv).
Eple, melon og jordbær er tre perfekte alternativer for å få sunt tannkjøtt, å unngå matopphopning og forhindre blødninger som oppstår med børsting. Det skal imidlertid bemerkes at eplene bør spises med skallet for å oppnå ønsket effekt.
Dessuten kan både jordbær og tomater brukes ganske enkelt ved å kutte dem i skiver og gni dem direkte på tennene før hvert måltid.
Nyere studier viser at konsekvent langtidskonsum av frukt er assosiert med en reduksjon i dannelsen av tannstein. Dette er fordi frukt fremmer forsuring av tannplakk, og forhindrer oppsamling av den.
En annen hjemmelaget måte å bekjempe tannstein på er å gni innsiden av skallet av visse frukter (appelsin og banan) mot tennene i ca. 2-3 minutter før og etter spising. Så, ikke kast det og dra nytte av det til å ta vare på tennene dine!
Tannstein er herding av plakk på grunn av mineralforekomster.
Dette fører vanligvis til at tennene ser lite attraktive ut, med gulaktig eller brunaktig misfarging. Ved grensen mellom tannkjøttet og tennene kan tannstein være enda mørkere i fargen. Som et resultat ser det ofte ut som en slags skorpe over området.
Hva bør du vite om tannstein?

Tannstein er rug å ta på. Bortsett fra å være et estetisk problem, kan det også føre til andre helseproblemer. Når tannstein interagerer med visse matvarer (som søtsaker, cola og stekt mat), frigjør den en syre som kan forårsake hull.
På den annen side kan visse vaner som røyking, alkoholisme og overdreven kaffeforbruk fremme forekomsten av tannstein. Det kan også være en genetisk disposisjon for produksjon av tannstein.
Du kan finne dette interessant: Peeling for strekkmerker med kaffe og kokosnøttolje
Hjemmemidler for tannstein
Det beste middelet mot tannstein er forebygging, og riktige tannhygienevaner bidrar til å forhindre produksjonen av denne plakken. Spesialister anbefaler å pusse tennene etter hvert måltid eller minst to ganger om dagen. Bruk av tanntråd eller bruk av interdentalbørster minst en gang om dagen bidrar også til å forhindre produksjon av tannstein.
I tillegg til å opprettholde gode tannhygienevaner, er det viktig å besøke tannlegen med jevne mellomrom for en grundig rengjøring. Du kan imidlertid også dra nytte av fordelene med spesifikke hjemmemidler for å forhindre overflødig tannstein på tennene.
Natron for å fjerne tannstein

Mange bruker natron blandet med sitron eller salt for å styrke tannhygienen og holde fargen på tennene klar, gitt egenskapene til disse ingrediensene. Det anbefales også å blande det med litt vann, da smaken kan være litt intens.
Vær imidlertid forsiktig med bruken, fordi den kan skade emaljen på tennene dine.
Ingredienser
- En spiseskje natron (10 g)
- En teskje salt (5 g)
- Vann (så mye som nødvendig)
Forberedelse
- I en bolle blander du natron og salt.
- Dypp deretter tannbørsten i varmt vann.
- Dypp deretter tannbørsten i natron- og saltblandingen for å bløtlegge den.
- Børst som vanlig, men prøv å fokusere på de områdene der tannstein har en tendens til å bygge seg opp mest.
- Gjenta minst to ganger om dagen (morgen og kveld) for å få resultater.
Sitron for å fjerne tannstein naturlig
Dette er en annen av de beste, naturlige blekemidlene for tenner. Dessuten har denne sitrusfrukten antibakterielle egenskaper som kommer godt med når man bekjemper tannstein.
Etter å ha brukt den, skyll munnen godt slik at den ikke produserer flekker på huden rundt munnen neste dag når den er i kontakt med solen.
Syren i sitronen kan skade eller svekke tennene, så du bør bruke denne oppskriften en gang i uken maks.
Ingredienser
- Saft av ½ sitron
- ½ kopp varmt vann (125 ml)
Forberedelse
- Fyll en halv kopp med varmt vann. Tilsett sitronsaft.
- Ha deretter vannet og juicen i et glass eller en kopp og rør.
- Skyll det rundt i munnen før du legger deg.
- Skyll til slutt med litt varmt vann, så får du ikke en sur smak.
Hydrogenperoksid
Denne husholdningartikkelen kan også brukes til å bleke tenner og fjerne tannstein. Du kan bruke dette hjemmemiddelet opptil tre ganger i uken, alltid som en skylling etter rutinemessig børsting.
Ingredienser
- ¼ kopp varmt vann (rundt 60 ml)
- To spiseskjeer hydrogenperoksid (20 ml)
Forberedelse
- Ha varmt vann i et glass og tilsett hydrogenperoksid. Rør om for å blande.
- Ta deretter litt av vannet og svisj det rundt i munnen i minst 1 minutt.
- Spytt ut blandingen og gjenta i et minutt til.
- Skyll med kaldt vann.
Les: Næringsstoffer og øvelser for å opprettholde en sunn, ren og sterk lever
sesamfrø

Disse frøene er ideelle for å fjerne oppsamlet smuss fra tennene.
- Du trenger bare å ta en skje av dem og tygge dem sakte i et minutt eller to.
- Deretter spytter du dem ut og masserer tennene ved hjelp av en tidligere fuktet tannbørste.
- Skyll til slutt med vann.
Persille for å fjerne tannstein fra tennene

Denne aromatiske urten som brukes i mange oppskrifter for smakstilsetning, kan også bidra til å bekjempe oppbygging av tannstein i tannkjøttet. Et av de enkleste midlene er som følger:
Ingredienser
- En håndfull bladpersille (20 g)
- En spiseskje vann (10 ml)
Forberedelse
- Vask og finhakk bladpersille.
- Bland deretter med vann for å danne en krem.
- Sett blandingen på tennene og la den virke i ca 5 minutter.
- Skyll med mye varmt vann.
Frukt for å fjerne tannstein fra tennene

Tro det eller ei, visse frukter kan bleke tennene våre og fjerne langvarig tannstein. For at denne metoden skal fungere, bør du spise dem rå og bite dem (ikke skjære dem med en kniv).
Eple, melon og jordbær er tre perfekte alternativer for å få sunt tannkjøtt, å unngå matopphopning og forhindre blødninger som oppstår med børsting. Det skal imidlertid bemerkes at eplene bør spises med skallet for å oppnå ønsket effekt.
Dessuten kan både jordbær og tomater brukes ganske enkelt ved å kutte dem i skiver og gni dem direkte på tennene før hvert måltid.
Nyere studier viser at konsekvent langtidskonsum av frukt er assosiert med en reduksjon i dannelsen av tannstein. Dette er fordi frukt fremmer forsuring av tannplakk, og forhindrer oppsamling av den.
En annen hjemmelaget måte å bekjempe tannstein på er å gni innsiden av skallet av visse frukter (appelsin og banan) mot tennene i ca. 2-3 minutter før og etter spising. Så, ikke kast det og dra nytte av det til å ta vare på tennene dine!
Alle siterte kilder ble grundig gjennomgått av teamet vårt for å sikre deres kvalitet, pålitelighet, aktualitet og validitet. Bibliografien i denne artikkelen ble betraktet som pålitelig og av akademisk eller vitenskapelig nøyaktighet.
- Al‐Hashedi, A. A., Dubreuil, N., Schwinghamer, T., Dorzhiyeva, S., Anweigi, L., Emami, E., & Tamimi, F. (2022). Aragonite toothpaste for management of dental calculus: A double‐blinded randomized controlled clinical trial. Clinical and Experimental Dental Research, 8(4), 863-874. https://onlinelibrary.wiley.com/doi/abs/10.1002/cre2.559
- American Dental Association (ADA). (2021). Floss/Interdental Cleaners. https://www.ada.org/resources/ada-library/oral-health-topics/floss/
- Benahmed, A. G., Gasmi, A., Dadar, M., Arshad, M., & Bjørklund, G. (2021). The role of sugar-rich diet and salivary proteins in dental plaque formation and oral health. Journal of oral biosciences, 63(2), 134-141. https://www.sciencedirect.com/science/article/pii/S1349007921000116
- Brooks, J. K., Bashirelahi, N., & Reynolds, M. A. (2017). Charcoal and charcoal-based dentifrices: A literature review. The Journal of the American Dental Association, 148(9), 661-670. https://www.sciencedirect.com/science/article/pii/S0002817717304129
- Deus, F. P., & Ouanounou, A. (2022). Chlorhexidine in dentistry: pharmacology, uses, and adverse effects. International dental journal, 72(3), 269-277. https://www.sciencedirect.com/science/article/pii/S0020653922000259
- Duane, B., Yap, T., Neelakantan, P., Anthonappa, R., Bescos, R., McGrath, C., … & Brookes, Z. (2023). Mouthwashes: alternatives and future directions. international dental journal. https://www.sciencedirect.com/science/article/pii/S0020653923004574
- James, P., Worthington, H. V., Parnell, C., Harding, M., Lamont, T., Cheung, A., … & Riley, P. (2017). Chlorhexidine mouthrinse as an adjunctive treatment for gingival health. Cochrane Database of Systematic Reviews, (3). https://www.cochranelibrary.com/cdsr/doi/10.1002/14651858.CD008676.pub2/abstract
- Myneni, S. R. (2017). Effect of baking soda in dentifrices on plaque removal. The Journal of the American Dental Association, 148(11), S4-S9. https://www.sciencedirect.com/science/article/pii/S0002817717308097
- Pandiyan, I., Rathinavelu, P. K., Arumugham, M. I., Srisakthi, D., & Balasubramaniam, A. (2022). Efficacy of Chitosan and Chlorhexidine Mouthwash on Dental Plaque and Gingival inflammation: a systematic review. Cureus, 14(3). https://www.ncbi.nlm.nih.gov/pmc/articles/PMC9014838/
- Peedikayil, F. C., Sreenivasan, P., & Narayanan, A. (2015). Effect of coconut oil in plaque related gingivitis—A preliminary report. Nigerian Medical Journal, 56(2), 143-147. https://journals.lww.com/nimj/fulltext/2015/56020/effect_of_coconut_oil_in_plaque_related_gingivitis.12.aspx
- Polatoglu, S. (s.f.) Toothpaste: overview. International Research in Dentistry. ISBN: 978-625-6971-22-6. https://www.researchgate.net/profile/Selin-Polatoglu/publication/369594309_toothpaste/links/6423eed5a1b72772e43503f1/toothpaste.pdf
- Ren, X., He, J., Cheng, R., Chen, Y., Xiang, Y., Zhang, Y., … & Hu, T. (2023). The efficacy and safety of oral irrigator on the control of dental plaque and gingivitis: a randomized, single-blind, parallel-group clinical trial. International Journal of Environmental Research and Public Health, 20(4), 3726. https://www.mdpi.com/1660-4601/20/4/3726
- Ruiz, M. A., de Souza Miola, L., Hori, G. M. R., & Catelan, A. (2021). Whitening effect of brushing with activated charcoal-based products on enamel: Integrative review. Research, Society and Development, 10(15), e259101522809-e259101522809. https://rsdjournal.org/index.php/rsd/article/view/22809
- Van der Weijden, F. A., & Slot, D. E. (2015). Efficacy of homecare regimens for mechanical plaque removal in managing gingivitis a meta review. Journal of clinical periodontology, 42, S77-S91. https://onlinelibrary.wiley.com/doi/abs/10.1111/jcpe.12359
- Zotarelli Filho, I. J. (2016). Influence of smok factors. International Journal of Current Research, 8(0). https://scholar.googleusercontent.com/scholar?q=cache:oF956BduwB0J:scholar.google.com/+INFLUENCE+OF+SMOKING+IN+CLINICAL+PRESEWITH+OTHER+CARDI1&hl=es&as_sdt=0,5&as_ylo=2016&as_yhi=2024
Denne teksten tilbys kun til informasjonsformål og erstatter ikke konsultasjon med en profesjonell. Ved tvil, konsulter din spesialist.







