Hvorfor blir tannstein svart? Behandling og forebygging

Mange bakterier og rusk kan samle seg på tennene hvis vi ikke har riktig munnhygiene. I denne artikkelen vil vi fortelle deg om tannstein og hvorfor den noen ganger ser svart ut.
Tilstedeværelsen av denne mørke stenen på tennene og tannkjøttet påvirker ikke bare utseendet til smilet. Det kan også gi opphav til orale sykdommer som gingivitt og periodontal sykdom.
Derfor, når svart tannstein vises, er det nødvendig å fjerne den. Å fjerne disse avleiringene bevarer helsen og forbedrer estetikken. Imidlertid vil det være nødvendig med inngripen fra en tannlege.
Hva er tannstein?
Når bakterier, matrester og rester i munnen ikke fjernes ordentlig ved tannhygiene, samler de seg på tennenes overflater. Dette resulterer i en klebrig film kjent som plakk.
Hvis plakk ikke fjernes ved børsting og bruk av tanntråd, fortsetter det å bygge seg opp og avsettes på tenner og tannkjøtt. Og over tid forkalker og herder mineralene i munnen denne filmen. Slik ser det vi kjenner som tannstein ut.
Hastigheten som bakteriell plakk kan herde med varierer fra person til person, og kan til og med endre seg hos samme individ på ulike stadier av livet. Selv om det generelt sett er en gjennomsnittlig forkalkningstid på 10 til 12 dager.
Faktorer som tanntype, pH i spyttet, og mengden kalsium, fosfor og andre stoffer som er tilstede i spyttet har innvirkning på tannsteinsdannelsesprosessen. Munnhygienevaner, tilgang til tannbehandling, tid siden siste tannrengjøring, systemiske sykdommer, bruk av visse medisiner, kosthold og pasientens alder spiller også en rolle.
Tannstein dannes ved mineralisering av bakterielt plakk. Den har imidlertid en annen tekstur og konsistens, og den er ikke så lett å fjerne. Børsting og tanntråd er ikke nok for å fjerne det.
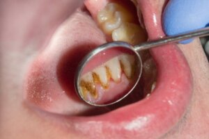
Fargen på tannstein
Fargen på tannstein avhenger i stor grad av hvor gammel den er og hvor den befinner seg. De vanligste områdene hvor bakteriell plakk begynner å stivne er de nær kanalene som spytt kommer ut av munnen. Dette er på innsiden av de nedre fortennene og på den ytre overflaten av jekslene.
Når den så vidt er dannet og er over tannkjøttkanten, er tannsteinen lysere. I disse tilfellene kalles det supragingival kalkulus og har en gul eller lysebrun farge.
Når tannstein er eldre og har samlet seg, er det vanlig at den begynner å sette seg under tannkjøttet. Dette er kjent som subgingival calkulus.
Subgingival calculus og avleiringer som har vært i munnen i lang tid er mørkere. Dermed kan de se brune, svarte eller grønne ut i fargen.
Hvorfor blir tannsteinen svart?
Sammensetningen i svart tannstein er den samme som for de lysere variantene. Imidlertid inkluderer det også andre komponenter som kommer fra nærliggende væsker.
Så, i tillegg til døde bakterier og mineraliserte spyttproteiner, er tannstein utsatt for følgende:
- Blod og hematiske biprodukter: Betent tannkjøtt som blør disponerer tannsteinen for kontakt med hematiske stoffer som har en tendens til å mørkne den. Når tannstein er under tannkjøttkanten, er mørk pigmentering med blod mer merkbart.
- Gingival crevicular væske: Dette er en væske som skilles ut av bindevevet og øker med tilstedeværelsen av bakteriell plakk og betennelse i tannkjøttet.
- Ytre stoffer: Kontakt med ytre stoffer som kommer inn i munnen kan favorisere flekker og pigmentering av tannstein. Dens mørkere variant kan skyldes hyppig inntak av mørke drikker, som kaffe eller rødvin, og bruk av tobakk.
Utover disse faktorene bør du imidlertid vite at alle former for tannstein blir mørkere og øker i størrelse over tid.

Komplikasjoner av svart tannstein
Tilstedeværelsen av svart tannstein og plakk i munnen har negative konsekvenser for munnhelsen. Begge virker irriterende på tannkjøttet, og favoriserer deres betennelse og forekomst av gingivitt. Gingivalvevet blir deretter hovent, smertefullt, rødt og blør lett.
Hvis gingivitt ikke behandles i tide, kan det utvikle seg til periodontitt. Denne tilstanden er mer alvorlig. Betennelse og infeksjon kompromitterer vevet som støtter tennene. Dermed kan det føre til tannbevegelse og til og med tap.
Når svart tannstein samler seg under tannkjøttet, mellom tannkjøttvevet og tannen, favoriserer det tilstedeværelsen og opphopningen av skadelige bakterier. Dette disponerer for utvikling av infeksjoner og puss inne i periodontale lommer.
Periodontitt er også en risikofaktor for generell helse. Faktisk er denne tilstanden i munnen assosiert med komplikasjoner av diabetes, hjertesykdom og luftveissykdommer.
Derfor påvirker tilstedeværelsen av svart tannstein ikke bare munnhulen, men har konsekvenser i hele kroppen. Det må også behandles i tide slik at det ikke fortsetter å forårsake skade.
Behandling av svart tannstein
Vi har allerede nevnt at den eneste måten å eliminere svart tannstein på er gjennom inngripen fra en tannlege. Børsting og bruk av tanntråd er ikke nok til å fjerne disse harde avleiringene fra tennene.
Fagpersonen vil evaluere situasjonen, finne plasseringen av tannsteinen og diagnostisere de tilknyttede sykdommene. Fra dette vil den mest hensiktsmessige tilnærmingen bli valgt.
For å fjerne svart tannstein tyr tannleger vanligvis til det som er kjent som skalering og rotplaning. Dette er en prosedyre som forsøker å fjerne bakterielt plakk, tannstein og pigmenteringer avsatt på tannoverflater og periodontale lommer.
Denne intervensjonen kombinerer bruken av manuelle verktøy, kalt curette, med ultralydinstrumenter. Sistnevnte produserer mikrovibrasjoner som bryter krystallene til den mineraliserte plakken.
Når svart tannstein samles opp inne i periodontale lommer, i kontakt med tannkjøttet og tannrøtter, er det nødvendig å bruke bedøvelse for å unngå smerter under behandlingen. Tannlegen utfører deretter kuretasje.
Denne prosedyren involverer skalering, polering og utjevning av røttene til tennene. Tannstein og subgingival bakteriell plakk fjernes og inflammatorisk vev inne i tannkjøttet elimineres.
Til slutt rengjøres det ytre området av tennene med roterende instrumenter for å fjerne urenheter, pigmenter og uregelmessigheter. Dette etterlater en jevn overflate som forhindrer oppbevaring av bakterielt plakk og gjentakelse av problemet.
Avhengig av mengden svart tannstein som har samlet seg opp, og tilstanden til periodontale vev, kan det være nødvendig med en eller flere avskallings- og rotplaningsøkter. I mer alvorlige tilfeller kan kombinasjonen med periodontale operasjoner være hensiktsmessig.
Resultatene
Gjennom disse prosedyrene som fjerner svart tannstein, kan en persons smil igjen se vakkert og trivelig ut. I tillegg kan tannkjøttet og periodontalvevet komme seg.
Når all den svarte tannsteinen er fjernet fra munnen, vil tannlegen gi noen hygieniske tiltak som skal utføres hjemme til pasienten. I tillegg, hvis tilfellet tilsier det, vil tannlegen foreskrive antibiotika, antiseptika og antiinflammatoriske midler for å forbedre utviklingen av prosessen.
Av og til vil det være nødvendig å revurdere tilstanden til munnen og utføre vedlikeholdsbehandlinger. Noen mennesker har en større tendens til å få tannstein.
Liker du denne artikkelen? Du kan også like å lese: Alt du trenger å vite om blødende tannkjøtt
Forebygging av svart tannstein
Som det sies, “forebygging er bedre enn behandling.” Selv om svart tannstein kan fjernes og behandles med en enkel behandling som avskalling og rotplaning, er det ideelt å unngå behovet for denne behandlingen til å begynne med.
Målet er å redusere varigheten av bakterielt plakk på orale overflater. På denne måten, uten plakk som kan forkalkes, blir det ingen tannstein.
Oppretthold riktig munnhygiene
Riktig munnhygiene er avgjørende for å forhindre dannelse av svart tannstein. For dette er riktig og hyppig børsting av tenner og tannkjøtt nøkkelen. Dette er det som tillater fjerning av den bakterielle plakken som dannes.
Det er nødvendig å børste alle sidene av alle tennene i munnen og området der tennene møter tannkjøttet. I tillegg, på slutten av rengjøringen, ikke glem å inkludere tungen.
Dette bør gjøres med en myk børste og fluortannkrem. Det finnes også noen alternative typer tannkrem spesielt utviklet for tannsteinsbekjempelse. Tannlegen kan anbefale disse produktene til pasienter som produserer en stor mengde tannstein.
Rengjøring bør vare i minst to minutter. Det bør gjøres 2 eller 3 ganger hver dag eller etter hvert måltid.
I tillegg er det også nødvendig å bruke tanntråd en gang om dagen. Dette elementet brukes til å rengjøre områdene mellom tennene, der tannbørsten ikke kan nå. Dental irrigators og interdental børster kan være til stor hjelp.
Tannlegen kan foreslå bruk av munnvann. Disse spesielle væskene med antiseptika eller fluor bidrar til å kontrollere plakkdannelse, forhindre tannstein og komplettere hygienerutinen.
Vær oppmerksom på kostholdet ditt
Bakterier som danner plakk drar fordel av sukker og karbohydrater i kostholdet vårt for å vokse og formere seg. Å være oppmerksom på hvilken type mat vi spiser hjelper til med å holde skadelige bakterier under kontroll.
Det anbefales derfor å unngå, eller i det minste redusere, forbruket av matvarer som fremmer bakteriell spredning. Snacks, søtsaker, godteri, brus og ultrabearbeidet mat er noen eksempler.

Unngå røyking
Røyking øker sjansene for å få svart tannstein i munnen, blant mange andre skadelige effekter.
Munntørrhet og økt bakteriell plakk er hyppige problemer hos røykere. Med dette er dannelse og opphopning av svart tannstein en vanlig konsekvens. Pigmentene fra kjemikaliene i sigaretter gjør tannsteinen mørkere raskere.
Kontroller tørr munn
Spytt er en svært viktig væske for å opprettholde oral helse. Det hjelper til med å rense tannoverflatene, begrenser veksten av bakterier og nøytraliserer syrene de produserer.
Imidlertid kan aldring, bruk av noen medikamenter som beroligende midler, antidepressiva, antihypertensive og onkologiske terapier forårsake munntørrhet. Xerostomi kan også være forårsaket av hyppig inntak av alkoholholdige drikkevarer eller røyking.
Å drikke mye vann, holde seg hydrert og tygge tyggegummi er alternativer som bidrar til å motvirke effekten av dette problemet. Om mulig er det også en god strategi å bytte ut medisiner som forårsaker munntørrhet.
Vi tror du kan være interessert i å lese dette også: Forholdet mellom oral helse og inflammatorisk tarmsykdom
Besøk tannlegen regelmessig
Regelmessige tannlegebesøk hver sjette måned hjelper til med å oppdage og behandle eventuelle problemer i munnen i tide. Deretter, hvis tannstein dukker opp, kan den fjernes umiddelbart før den kan fortsette å bygge seg opp og forårsake uønskede konsekvenser.
Råd om børsteteknikker og anbefalinger om bruk av enkelte tannhygieneprodukter er vanlig på tannlegekontoret. En tannlege lærer også pasienten hvordan han eller hun skal ta vare på munnen og holde den sunn.
Profesjonell rengjøring spiller også en svært viktig rolle i å kontrollere bakteriell plakk. Det tillater tidlig fjerning av plakkavleiringer, tannstein og pigmenter som dannes og som tannbørsten ikke kan nå.
Ingen svart tannstein
Et smil dekket av mørke avleiringer er ikke det beste førsteinntrykket, men som vi fortalte deg, påvirker svart tannstein ikke bare estetikken og utseendet til munnen. Det disponerer også en person for andre sykdommer.
Når svart tannstein vises, er tannbehandling nødvendig. Og selv om det er en enkel prosedyre, er det alltid å foretrekke å unngå det. Å forplikte seg til god munnpleie vil forhindre svart tannstein og forbedre utseendet og helsen til smilet ditt.
Mange bakterier og rusk kan samle seg på tennene hvis vi ikke har riktig munnhygiene. I denne artikkelen vil vi fortelle deg om tannstein og hvorfor den noen ganger ser svart ut.
Tilstedeværelsen av denne mørke stenen på tennene og tannkjøttet påvirker ikke bare utseendet til smilet. Det kan også gi opphav til orale sykdommer som gingivitt og periodontal sykdom.
Derfor, når svart tannstein vises, er det nødvendig å fjerne den. Å fjerne disse avleiringene bevarer helsen og forbedrer estetikken. Imidlertid vil det være nødvendig med inngripen fra en tannlege.
Hva er tannstein?
Når bakterier, matrester og rester i munnen ikke fjernes ordentlig ved tannhygiene, samler de seg på tennenes overflater. Dette resulterer i en klebrig film kjent som plakk.
Hvis plakk ikke fjernes ved børsting og bruk av tanntråd, fortsetter det å bygge seg opp og avsettes på tenner og tannkjøtt. Og over tid forkalker og herder mineralene i munnen denne filmen. Slik ser det vi kjenner som tannstein ut.
Hastigheten som bakteriell plakk kan herde med varierer fra person til person, og kan til og med endre seg hos samme individ på ulike stadier av livet. Selv om det generelt sett er en gjennomsnittlig forkalkningstid på 10 til 12 dager.
Faktorer som tanntype, pH i spyttet, og mengden kalsium, fosfor og andre stoffer som er tilstede i spyttet har innvirkning på tannsteinsdannelsesprosessen. Munnhygienevaner, tilgang til tannbehandling, tid siden siste tannrengjøring, systemiske sykdommer, bruk av visse medisiner, kosthold og pasientens alder spiller også en rolle.
Tannstein dannes ved mineralisering av bakterielt plakk. Den har imidlertid en annen tekstur og konsistens, og den er ikke så lett å fjerne. Børsting og tanntråd er ikke nok for å fjerne det.
Fargen på tannstein
Fargen på tannstein avhenger i stor grad av hvor gammel den er og hvor den befinner seg. De vanligste områdene hvor bakteriell plakk begynner å stivne er de nær kanalene som spytt kommer ut av munnen. Dette er på innsiden av de nedre fortennene og på den ytre overflaten av jekslene.
Når den så vidt er dannet og er over tannkjøttkanten, er tannsteinen lysere. I disse tilfellene kalles det supragingival kalkulus og har en gul eller lysebrun farge.
Når tannstein er eldre og har samlet seg, er det vanlig at den begynner å sette seg under tannkjøttet. Dette er kjent som subgingival calkulus.
Subgingival calculus og avleiringer som har vært i munnen i lang tid er mørkere. Dermed kan de se brune, svarte eller grønne ut i fargen.
Hvorfor blir tannsteinen svart?
Sammensetningen i svart tannstein er den samme som for de lysere variantene. Imidlertid inkluderer det også andre komponenter som kommer fra nærliggende væsker.
Så, i tillegg til døde bakterier og mineraliserte spyttproteiner, er tannstein utsatt for følgende:
- Blod og hematiske biprodukter: Betent tannkjøtt som blør disponerer tannsteinen for kontakt med hematiske stoffer som har en tendens til å mørkne den. Når tannstein er under tannkjøttkanten, er mørk pigmentering med blod mer merkbart.
- Gingival crevicular væske: Dette er en væske som skilles ut av bindevevet og øker med tilstedeværelsen av bakteriell plakk og betennelse i tannkjøttet.
- Ytre stoffer: Kontakt med ytre stoffer som kommer inn i munnen kan favorisere flekker og pigmentering av tannstein. Dens mørkere variant kan skyldes hyppig inntak av mørke drikker, som kaffe eller rødvin, og bruk av tobakk.
Utover disse faktorene bør du imidlertid vite at alle former for tannstein blir mørkere og øker i størrelse over tid.

Komplikasjoner av svart tannstein
Tilstedeværelsen av svart tannstein og plakk i munnen har negative konsekvenser for munnhelsen. Begge virker irriterende på tannkjøttet, og favoriserer deres betennelse og forekomst av gingivitt. Gingivalvevet blir deretter hovent, smertefullt, rødt og blør lett.
Hvis gingivitt ikke behandles i tide, kan det utvikle seg til periodontitt. Denne tilstanden er mer alvorlig. Betennelse og infeksjon kompromitterer vevet som støtter tennene. Dermed kan det føre til tannbevegelse og til og med tap.
Når svart tannstein samler seg under tannkjøttet, mellom tannkjøttvevet og tannen, favoriserer det tilstedeværelsen og opphopningen av skadelige bakterier. Dette disponerer for utvikling av infeksjoner og puss inne i periodontale lommer.
Periodontitt er også en risikofaktor for generell helse. Faktisk er denne tilstanden i munnen assosiert med komplikasjoner av diabetes, hjertesykdom og luftveissykdommer.
Derfor påvirker tilstedeværelsen av svart tannstein ikke bare munnhulen, men har konsekvenser i hele kroppen. Det må også behandles i tide slik at det ikke fortsetter å forårsake skade.
Behandling av svart tannstein
Vi har allerede nevnt at den eneste måten å eliminere svart tannstein på er gjennom inngripen fra en tannlege. Børsting og bruk av tanntråd er ikke nok til å fjerne disse harde avleiringene fra tennene.
Fagpersonen vil evaluere situasjonen, finne plasseringen av tannsteinen og diagnostisere de tilknyttede sykdommene. Fra dette vil den mest hensiktsmessige tilnærmingen bli valgt.
For å fjerne svart tannstein tyr tannleger vanligvis til det som er kjent som skalering og rotplaning. Dette er en prosedyre som forsøker å fjerne bakterielt plakk, tannstein og pigmenteringer avsatt på tannoverflater og periodontale lommer.
Denne intervensjonen kombinerer bruken av manuelle verktøy, kalt curette, med ultralydinstrumenter. Sistnevnte produserer mikrovibrasjoner som bryter krystallene til den mineraliserte plakken.
Når svart tannstein samles opp inne i periodontale lommer, i kontakt med tannkjøttet og tannrøtter, er det nødvendig å bruke bedøvelse for å unngå smerter under behandlingen. Tannlegen utfører deretter kuretasje.
Denne prosedyren involverer skalering, polering og utjevning av røttene til tennene. Tannstein og subgingival bakteriell plakk fjernes og inflammatorisk vev inne i tannkjøttet elimineres.
Til slutt rengjøres det ytre området av tennene med roterende instrumenter for å fjerne urenheter, pigmenter og uregelmessigheter. Dette etterlater en jevn overflate som forhindrer oppbevaring av bakterielt plakk og gjentakelse av problemet.
Avhengig av mengden svart tannstein som har samlet seg opp, og tilstanden til periodontale vev, kan det være nødvendig med en eller flere avskallings- og rotplaningsøkter. I mer alvorlige tilfeller kan kombinasjonen med periodontale operasjoner være hensiktsmessig.
Resultatene
Gjennom disse prosedyrene som fjerner svart tannstein, kan en persons smil igjen se vakkert og trivelig ut. I tillegg kan tannkjøttet og periodontalvevet komme seg.
Når all den svarte tannsteinen er fjernet fra munnen, vil tannlegen gi noen hygieniske tiltak som skal utføres hjemme til pasienten. I tillegg, hvis tilfellet tilsier det, vil tannlegen foreskrive antibiotika, antiseptika og antiinflammatoriske midler for å forbedre utviklingen av prosessen.
Av og til vil det være nødvendig å revurdere tilstanden til munnen og utføre vedlikeholdsbehandlinger. Noen mennesker har en større tendens til å få tannstein.
Liker du denne artikkelen? Du kan også like å lese: Alt du trenger å vite om blødende tannkjøtt
Forebygging av svart tannstein
Som det sies, “forebygging er bedre enn behandling.” Selv om svart tannstein kan fjernes og behandles med en enkel behandling som avskalling og rotplaning, er det ideelt å unngå behovet for denne behandlingen til å begynne med.
Målet er å redusere varigheten av bakterielt plakk på orale overflater. På denne måten, uten plakk som kan forkalkes, blir det ingen tannstein.
Oppretthold riktig munnhygiene
Riktig munnhygiene er avgjørende for å forhindre dannelse av svart tannstein. For dette er riktig og hyppig børsting av tenner og tannkjøtt nøkkelen. Dette er det som tillater fjerning av den bakterielle plakken som dannes.
Det er nødvendig å børste alle sidene av alle tennene i munnen og området der tennene møter tannkjøttet. I tillegg, på slutten av rengjøringen, ikke glem å inkludere tungen.
Dette bør gjøres med en myk børste og fluortannkrem. Det finnes også noen alternative typer tannkrem spesielt utviklet for tannsteinsbekjempelse. Tannlegen kan anbefale disse produktene til pasienter som produserer en stor mengde tannstein.
Rengjøring bør vare i minst to minutter. Det bør gjøres 2 eller 3 ganger hver dag eller etter hvert måltid.
I tillegg er det også nødvendig å bruke tanntråd en gang om dagen. Dette elementet brukes til å rengjøre områdene mellom tennene, der tannbørsten ikke kan nå. Dental irrigators og interdental børster kan være til stor hjelp.
Tannlegen kan foreslå bruk av munnvann. Disse spesielle væskene med antiseptika eller fluor bidrar til å kontrollere plakkdannelse, forhindre tannstein og komplettere hygienerutinen.
Vær oppmerksom på kostholdet ditt
Bakterier som danner plakk drar fordel av sukker og karbohydrater i kostholdet vårt for å vokse og formere seg. Å være oppmerksom på hvilken type mat vi spiser hjelper til med å holde skadelige bakterier under kontroll.
Det anbefales derfor å unngå, eller i det minste redusere, forbruket av matvarer som fremmer bakteriell spredning. Snacks, søtsaker, godteri, brus og ultrabearbeidet mat er noen eksempler.

Unngå røyking
Røyking øker sjansene for å få svart tannstein i munnen, blant mange andre skadelige effekter.
Munntørrhet og økt bakteriell plakk er hyppige problemer hos røykere. Med dette er dannelse og opphopning av svart tannstein en vanlig konsekvens. Pigmentene fra kjemikaliene i sigaretter gjør tannsteinen mørkere raskere.
Kontroller tørr munn
Spytt er en svært viktig væske for å opprettholde oral helse. Det hjelper til med å rense tannoverflatene, begrenser veksten av bakterier og nøytraliserer syrene de produserer.
Imidlertid kan aldring, bruk av noen medikamenter som beroligende midler, antidepressiva, antihypertensive og onkologiske terapier forårsake munntørrhet. Xerostomi kan også være forårsaket av hyppig inntak av alkoholholdige drikkevarer eller røyking.
Å drikke mye vann, holde seg hydrert og tygge tyggegummi er alternativer som bidrar til å motvirke effekten av dette problemet. Om mulig er det også en god strategi å bytte ut medisiner som forårsaker munntørrhet.
Vi tror du kan være interessert i å lese dette også: Forholdet mellom oral helse og inflammatorisk tarmsykdom
Besøk tannlegen regelmessig
Regelmessige tannlegebesøk hver sjette måned hjelper til med å oppdage og behandle eventuelle problemer i munnen i tide. Deretter, hvis tannstein dukker opp, kan den fjernes umiddelbart før den kan fortsette å bygge seg opp og forårsake uønskede konsekvenser.
Råd om børsteteknikker og anbefalinger om bruk av enkelte tannhygieneprodukter er vanlig på tannlegekontoret. En tannlege lærer også pasienten hvordan han eller hun skal ta vare på munnen og holde den sunn.
Profesjonell rengjøring spiller også en svært viktig rolle i å kontrollere bakteriell plakk. Det tillater tidlig fjerning av plakkavleiringer, tannstein og pigmenter som dannes og som tannbørsten ikke kan nå.
Ingen svart tannstein
Et smil dekket av mørke avleiringer er ikke det beste førsteinntrykket, men som vi fortalte deg, påvirker svart tannstein ikke bare estetikken og utseendet til munnen. Det disponerer også en person for andre sykdommer.
Når svart tannstein vises, er tannbehandling nødvendig. Og selv om det er en enkel prosedyre, er det alltid å foretrekke å unngå det. Å forplikte seg til god munnpleie vil forhindre svart tannstein og forbedre utseendet og helsen til smilet ditt.
Alle siterte kilder ble grundig gjennomgått av teamet vårt for å sikre deres kvalitet, pålitelighet, aktualitet og validitet. Bibliografien i denne artikkelen ble betraktet som pålitelig og av akademisk eller vitenskapelig nøyaktighet.
- Baux Jiménez, G. (2008). Incidencia del cálculo dental en piezas del maxilar superior (Doctoral dissertation, Universidad de Guayaquil. Facultad Piloto de Odontología. Escuela de Postgrado” Dr. José Apolo Pineda”).
- Rivas Almonte, U. O. (2004). Dosaje de calcio y fósforo en saliva estimulada en relación al cálculo supragingival, en personas sanas.
- Caballero, A., Ricaurte, M., & Conrado, C. (2011). Cálculo dental: una revisión de literatura y presentación de una condición inusual. Acta odontológica venezolana, 49(3).
- Chaguay Alvarado, J. S. (2021). El tabaquismo y sus consecuencias en la cavidad bucal (Bachelor’s thesis, Universidad de Guayaquil. Facultad Piloto de Odontología).
- ANATOMOFISIOMICROBIOLÓGICOS, A. C. Y. (2006). El surco gingival Aspectos clínicos y anatomofisiomicrobiológicos. Odous Científica, 7(2).
- Pérez, A. J. S. (2008). Gingivectomia y curetaje gingival. Labor dental clínica: Avances clínicos en odontoestomatología, 9(1), 24-28.
- Mosquera Tacuri, M. J. (2019). Tratamiento de bolsas periodontales con raspado y alisado radicular campo abierto (Bachelor’s thesis, Universidad de Guayaquil. Facultad Piloto de Odontología).
- Rodríguez, J. A. L., Casana, S. T. V., & Alejandro, M. G. P. (2020). Efectividad de la clorhexidina y aceites esenciales asociados al raspado y alisado radicular en el tratamiento de periodontitis crónica. Ciencias de la salud, 18(3), 3.
- Bernardo Ricardo, P. B., Clara, O. M., & Walkyria del Carmen, G. R. (2021, March). Efectividad de antimicrobianos como coadyuvantes del raspado y alisado radicular en la periodontitis del adulto. In EMPREFARMA PINAR 2021.
- Badal, C. F. (2014). Evaluación de la capacidad de un nuevo colutorio de inhibir la formación del cálculo dental supragingival (Doctoral dissertation, Universitat de València).
- Llena, C., Forner, L., & Vento, C. (2009). Anticalculus efficacy of a new dentifrice. Quintessence International, 40(6).
Denne teksten tilbys kun til informasjonsformål og erstatter ikke konsultasjon med en profesjonell. Ved tvil, konsulter din spesialist.







